上木古社区:"情暖老人心"慰问活动

高清图片下载 免费 安全无风险
上木古社区:"情暖老人心"慰问活动

上木古社区:"情暖老人心"慰问活动

点击图片查看原图

图片信息

  • 格式: JPG
  • 尺寸: 2592x1728
  • 大小: 约1.2MB

版权声明

相关标签

自然风光 高清壁纸 4K画质

分享图片

相关推荐

基于当前图片的相似推荐

爱在重阳—滦城街道团委志愿者慰问贫困老人活动

工行西宁城西支行团总支慰问孤寡老人弘扬雷锋精神

西辛庄两委会春节慰问老人,慰问贫困家庭

用心服务用爱担当稻香园南社区慰问高龄老人

【正能量】慈善送温暖 爱心献路桥 一一路桥上海商会节前慰问孤寡老人

组织开展慰问孤寡老人活动

关爱老人"交通路社区联合市直幼儿园慰问孤寡老人活动

【西桃园】社区工作人员慰问社区80岁以上老人

中秋佳节,慰问孤寡老人---曹村镇诚义爱心义工队2020中秋慰问活动

尊老爱老养老 弘扬传统美德 ——商城县自来水总公司慰问敬老院老人

西南大学学子三下乡——走进乡村养老院,慰问老人献爱心

随机推荐

发现更多精彩图片

风水大师说手中的纹路呈三角状一生远离劳碌

喜茶go_企业商标大全_商标信息查询_爱企查

感应的电笔制作原理图

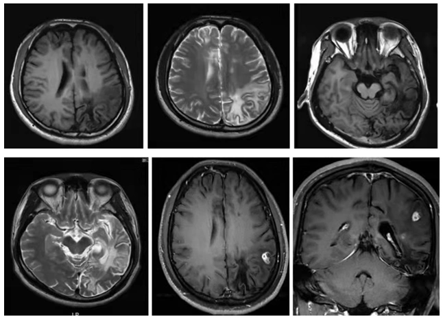
于人脑内所形成的中枢神经系统寄生虫病,其典 型的头颅磁共振影像为不

小花仙精灵王卡牌荼蘼花---盘古

漫威电影观影顺序docx2页

在诊所进行妇科检查诊断或咨询检查在时穿手套和制服的女妇科医生图片

大热锁骨发 #减龄发型 #短发 #女生短发发型 #女生发型参考

海鲜池设计注意事项