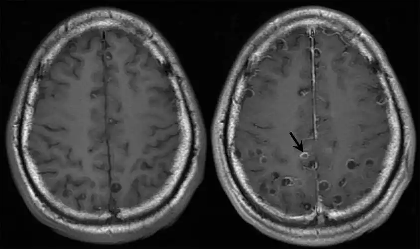
于人脑内所形成的中枢神经系统寄生虫病,其典 型的头颅磁共振影像为不

高清图片下载 免费 安全无风险
于人脑内所形成的中枢神经系统寄生虫病,其典 型的头颅磁共振影像为不

于人脑内所形成的中枢神经系统寄生虫病,其典 型的头颅磁共振影像为不

点击图片查看原图

图片信息

  • 格式: JPG
  • 尺寸: 646x466
  • 大小: 约1.2MB

版权声明

相关标签

自然风光 高清壁纸 4K画质

分享图片

相关推荐

基于当前图片的相似推荐

吃进去的寄生虫它可能爬呀爬就爬到脑子里去了

脑囊虫也导致三叉神经痛!罕见

男子生吃猪血致脑中寄生19条虫

大脑里面「凹造型」:常见神经系统寄生虫感染影像表现

一文读懂脑囊虫病的影像学表现

图2-8-3 多头蚴寄生在一侧脑半球【诊断】根据其特殊的症状,病史做出

大脑里面「凹造型」:常见神经系统寄生虫感染影像表现

警惕可致神经系统损害和精神障碍的寄生虫病

80后少女脑部惊现数百寄生虫!就因为12年前吃过呢样嘢

随机推荐

发现更多精彩图片

唐(唐晶和贺函什么时候分手的)

原创黄瑜娴分手金刚后接受采访坦承自己已经取消对金刚的追踪

在内华达州亨德森公务机展上拍摄的达索航空猎鹰10x公务机的内饰.

漳州七首岩释照光法师是哪里人?

鱼缸水族箱小型玻璃自动恒温棒电热棒迷你加热棒超短乌龟缸加温棒

高要碧桂园龙熹山紫爵

适合做头像的魔方图片_微信头像图片大全

怡慕夕灰色百褶裙女半身裙短裙夏季高腰学生jk西装裙子a字裙大腿粗遮

云逸书院毛笔字楷书入门字帖教程

猫耳壁纸控!让人忍不住想捏捏的猫耳萌娘

叶问和李小龙,你认为谁比较厉害?