表示天气的20个符号即应在观测簿当日天气现象栏

高清图片下载 免费 安全无风险
表示天气的20个符号即应在观测簿当日天气现象栏

表示天气的20个符号即应在观测簿当日天气现象栏

点击图片查看原图

图片信息

  • 格式: JPG
  • 尺寸: 600x485
  • 大小: 约1.2MB

版权声明

相关标签

自然风光 高清壁纸 4K画质

分享图片

相关推荐

基于当前图片的相似推荐

南风8级 西南风7级 西风6级 西北风4级 5 北风6级 6 东北风4

初步了解风力,风向,图标小常识,感知其特点

3,常见天预报符号 北 风 8-12 级 西北风 东北风(6 级) 西风 东风

这几个风力的标志各代表几级?

气象图标里的风力f各种形式表达的意义?

关于风力分级和风力,风向符号

风速计anemometer gm8901 风力等级显示 多功能测量

风力等级表风力等级表风力等级表

随机推荐

发现更多精彩图片

黄金小金珠999足金转运珠3d硬金光面古法圆珠本命年diy手链配件

新冠肺炎疫情防控主题科普海报

寿比山降压药说明书 - 百度文库

跟某雪某城媲美的柠檬水制作秘诀

高清晰鲜艳的红色羽毛壁纸

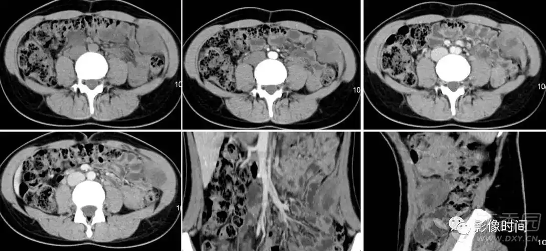
优质一例韧带样纤维瘤,您有见过么?

导师田斌连麦哈尔滨大文文,太逗了