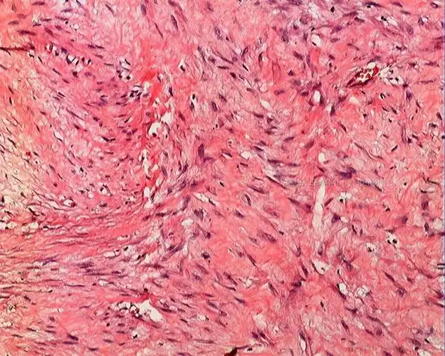
优质一例韧带样纤维瘤,您有见过么?

高清图片下载 免费 安全无风险
优质一例韧带样纤维瘤,您有见过么?

优质一例韧带样纤维瘤,您有见过么?

点击图片查看原图

图片信息

  • 格式: JPG
  • 尺寸: 1320x606
  • 大小: 约1.2MB

版权声明

相关标签

自然风光 高清壁纸 4K画质

分享图片

相关推荐

基于当前图片的相似推荐

带你认识腱鞘巨细胞瘤

中国医学科学院肿瘤医院万经海教授头颈部韧带样纤维瘤一例

右腹壁肿物---韧带样型纤维瘤病

右腹壁肿物---韧带样型纤维瘤病

右腹壁肿物---韧带样型纤维瘤病

韧带样纤维瘤病如何诊断

要将肿瘤完整摘除,需要将脊柱后部的椎板及韧带切除后,打开椎管,实施

侵袭性纤维瘤病/硬纤维瘤/韧带样纤维瘤(二)

右腹壁肿物---韧带样型纤维瘤病

膝关节皮下软组织多形性横纹肌肉瘤病例分析

右腹壁肿物---韧带样型纤维瘤病

随机推荐

发现更多精彩图片

真正让大家熟知她的应该是近年来的热播剧《琅琊榜》和《伪装者》这两

秦霄贤你好星期六##秦霄贤未来可期

38女王节手机端宣传海报psd源文件

紫苏梗中药材苏梗紫苏杆新货干净无杂打粉紫苏梗1000克

罗蒙捡漏专区女生职业装套装夏天正式场合正装女夏季新款短袖衬衫气质

wooden mini violin musical instruments for souvenir crafts

美丽的年轻女子睡觉, 而躺在床上舒适和幸福照片

《碧蓝航线》内华达改造介绍

平面图设计的图一,有人说床对着门不好换了图二图三,哪个好一点#儿童

希腊神话ppt 希腊神话 十二神 宙斯 雅典娜 英文 奥林匹斯十二主神

学院风拼色v领jk制服针织毛衣女春秋新款甜美马甲背心女 - 17网

win10系统自带锁屏高清桌面壁纸