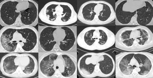
女性30岁,咳嗽,咳痰10天,胸部ct报告肺炎,猜病原体 - 呼吸胸外 - 医学

高清图片下载 免费 安全无风险
女性30岁,咳嗽,咳痰10天,胸部ct报告肺炎,猜病原体 - 呼吸胸外 - 医学

女性30岁,咳嗽,咳痰10天,胸部ct报告肺炎,猜病原体 - 呼吸胸外 - 医学

点击图片查看原图

图片信息

  • 格式: JPG
  • 尺寸: 685x463
  • 大小: 约1.2MB

版权声明

相关标签

自然风光 高清壁纸 4K画质

分享图片

相关推荐

基于当前图片的相似推荐

什么肺炎的ct影像如此与众不同

【影像读片】病毒性肺炎ct

金黄色葡萄球菌肺炎,大咖教你看ct片!

第一次的住院经历.一开始没拍ct,x线显示肺炎,门诊挂水五天 - 抖音

这两种肺炎在ct上的鉴别点,你清楚吗?

女性35岁咳喘1月胸部ct报肺炎

大叶性肺炎?但体征不明显,如图

新冠肺炎呈阳性的 ct 扫描图像示例. 方法

支原体肺炎跟病毒肺炎一样,可以家庭内传播,这篇ct入门教你鉴别

ct诊断报告书写技巧(3)间质性肺炎

随机推荐

发现更多精彩图片

出道弟子分享亲身修行经历

170女生和170男生比身高,结局太刺激了

7旬老人独居农村,女儿花钱如流水,孙子给他长了脸,咋回事

祝金榜题名 | 体育单招122所招生院校录取通知书已集齐_大学_柏木

简约时尚短发手绘女生头像,卡通头像图片-回车桌面

供应ygy-fsxy1风速风向仪

魔都超舒服的spa馆说天花板也不为过

邪神和三极神到底谁更厉害,反正都是自带神字的卡牌-搜狐大视野-搜狐

胖虎头像高清搞笑头像 胖虎搞笑头像带字_微信头像图片大全

每日一画|樱花树马克笔手绘 94粉紫粉紫的樱花树(哎画的时候忘记拍