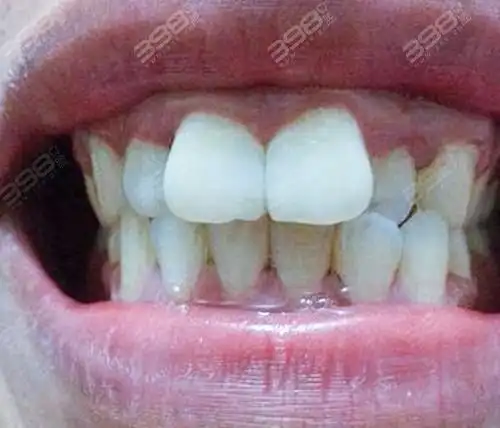
请懂得牙科医生看看,我有个门牙有点外突,不知道能不能弄弄,别再突了

高清图片下载 免费 安全无风险
请懂得牙科医生看看,我有个门牙有点外突,不知道能不能弄弄,别再突了

请懂得牙科医生看看,我有个门牙有点外突,不知道能不能弄弄,别再突了

点击图片查看原图

图片信息

  • 格式: JPG
  • 尺寸: 1200x1600
  • 大小: 约1.2MB

版权声明

相关标签

自然风光 高清壁纸 4K画质

分享图片

相关推荐

基于当前图片的相似推荐

牙齿前突,开颌矫正,做一个爱笑的女孩!

右边门牙有外凸现象,只有这一颗,不想戴牙套.因为本身这颗牙就有点

(照片)牙齿前突,想纠正,门牙大,牙缝小,请问怎么办?

牙齿能不矫正就别矫正?我这种情况呢?

门牙突出用手按有效吗40岁门牙突出最快矫正方法是什么

本人十五岁,门牙突出如下图,带牙套需要拔牙吗

女儿10虚岁,牙齿感觉有些往外突出,不知道该不该带牙套,希望专业医师

21岁女,门牙向外突出,想尽快矫正,求帮助!

矫正前,虽然门牙外凸,缝隙大,但是突出还没矫正后厉害▼矫正后放飞

小孩门牙突出,什么时间矫正好?看门牙突出矫正效果图

大夫您好,我今年27岁了,我的嘴有点鼓,牙床突出,门牙有点大,也突.

随机推荐

发现更多精彩图片

热销新款天然玛瑙玉髓叮当手镯绿色玉铃铛镯翠绿玉镯厂家批发正品

软件测脸型60自动配发型60

摄影丨男生人像写真作品

柴火炉户外家用灶农村无烟室内烧木柴新式炉便携节能大锅台子取暖黑桶

春季新款打底裤大码外穿小脚裤休闲女裤紧身裤弹力裤批发860216

造价65万左右二层半欧式别墅新农村自建房设计图纸大全

合家欢的小头像之蝙蝠侠

恩奇都 - 堆糖,美图壁纸兴趣社区

音乐符号手帐小素材音符简笔画如何画萨克斯简笔画音符简笔画卡通音符

蔷将将做的辣子兔(干煸兔)