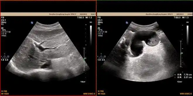
迟发性脾破裂(10月4日更正) - 超声医学讨论版 - 爱爱医医学论坛

高清图片下载 免费 安全无风险
迟发性脾破裂(10月4日更正) - 超声医学讨论版 - 爱爱医医学论坛

迟发性脾破裂(10月4日更正) - 超声医学讨论版 - 爱爱医医学论坛

点击图片查看原图

图片信息

  • 格式: JPG
  • 尺寸: 625x416
  • 大小: 约1.2MB

版权声明

相关标签

自然风光 高清壁纸 4K画质

分享图片

相关推荐

基于当前图片的相似推荐

所有分类 医药卫生 脾脏的超声诊断ppt 脾厚径:在左肋间斜断面测量脾

肝胆脾胰,腹膜后常见疾病的超声诊断ppt

超基础这样的急性胰腺炎就离谱欢迎关注超声园地一起巩固超声基础知识

脾脏常用切面及相关疾病超声诊断

图2-4:腹部超声同时发现脾肿大,长径约16.7cm,厚约6.7cm.

深圳一女环卫工意外车祸致脾破裂大出血,经抢救后脱离危险

超声诊断学知识点总结(脾脏)

脾脏肿大的测量与记录法(以cm表示)

随机推荐

发现更多精彩图片

4.冬天上幼儿园,让孩子重视幼儿园生活

谢谢你了聊天动态表情图

2018新疆阿克苏青皮核桃代办代发代脱壳加工

一口气看完重口味惊悚电影《致命弯道》系列6部电影-抱着你想着ta

广东韶关丹霞山,自然天成的阴阳石.

新款户外儿童电动碰碰车广场发光摆摊游乐车商场亲子双人游乐设备

jojo lands主人公乔迪奥的替身面板数据是多少?

一部优秀的影视剧,之所以能够让人们印象深刻,就是因