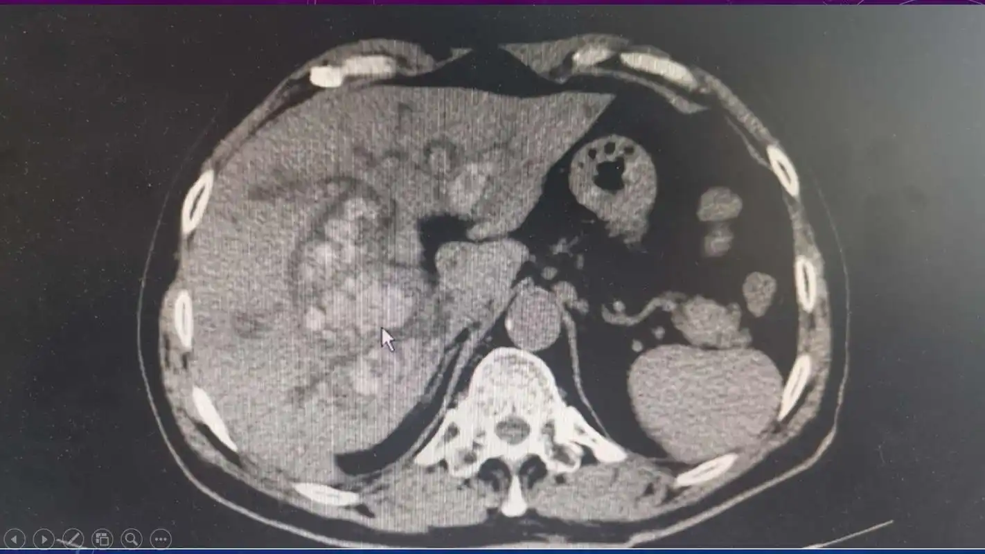
一例充满型胆囊结石的保胆治疗

高清图片下载 免费 安全无风险
一例充满型胆囊结石的保胆治疗

一例充满型胆囊结石的保胆治疗

点击图片查看原图

图片信息

  • 格式: JPG
  • 尺寸: 1920x1080
  • 大小: 约1.2MB

版权声明

相关标签

自然风光 高清壁纸 4K画质

分享图片

相关推荐

基于当前图片的相似推荐

ct值在50hu以上,单发或多发,形态,大小各异,泥沙样结石常沉积在胆囊

急腹症影像:胆道结石ct表现!

女子胸口疼全身发冷冒冷汗就医才发现竟是胆囊结石所致

急腹症影像:胆道结石ct表现!

胆系结石上腹部ct平扫胆囊

ct显示 肝内胆管多发高密度结石

部分胆囊结石ct可显影

philips每日一例:慢性胆囊炎并胆囊结石ct病例图片影像诊断

上腹ct见胆囊结石,胆囊明显胀大.

急腹症影像:胆道结石ct表现!

类圆形或多角形;ct值在40hu以下,变换体位结石位置有变动,少数与胆囊

随机推荐

发现更多精彩图片

花架子落地多层客厅铁艺植物花卉盆栽创意展示架支架欧式阳台花盆

同关之琳一样,张柏芝的父母也很早就离婚了,她一直跟着母亲生活,家庭

最具人气的女士短发:蓬松瘦脸,层次感满满,剪完显小10岁_头发_发型

刀郎新歌《山歌寥哉》内涵四位著名歌星?这么看就格局太小了!

宇宙星空墙贴纸自粘卡通装饰画宇航员贴画儿童房墙面装饰幼儿园贴

魏无羡死后,蓝湛发了疯似的去找魏无羡的魂魄,从

妈妈送给女儿孩子生日手绘贺卡祝福11岁礼物 手绘

雨伞下的雨天光影|摄影|人文/纪实摄影|懒mango - 原创作品 - 站酷

火焰龟苗活体精品宽纹路彩龟苗鱼缸可深水宠物新手好养包成活 14-17

艾多美化妆品宣传单单页卡片翻页

当然常州还有其他许多好玩的景点,请广大网友进行补充!常州10.

国画教程——竹子的写意画法