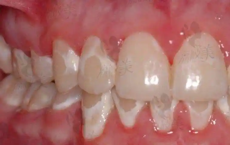
儿童在七,八岁前牙齿发育钙化期如饮用含氟量过高的水或者使用过量的

高清图片下载 免费 安全无风险
儿童在七,八岁前牙齿发育钙化期如饮用含氟量过高的水或者使用过量的

儿童在七,八岁前牙齿发育钙化期如饮用含氟量过高的水或者使用过量的

点击图片查看原图

图片信息

  • 格式: JPG
  • 尺寸: 600x300
  • 大小: 约1.2MB

版权声明

相关标签

自然风光 高清壁纸 4K画质

分享图片

相关推荐

基于当前图片的相似推荐

严重龋齿的图片_有来医生

宝宝前门牙有点钙化怎么办婴幼儿牙齿钙化会自愈恢复吗

四环素牙和氟斑牙的区别是什么?突然发现牙齿有个黄色斑

尿酸水平高,会导致口内牙齿酸蚀,发生脱矿吗?口腔医生为你解答

牙齿钙化症状和图片,宝宝牙齿钙化轻度图片-图片大观-奇异网

牙齿钙化怎么办牙齿上有白斑能恢复吗

牙齿钙化症状和图片,宝宝牙齿钙化轻度图片-图片大观-奇异网

儿童牙齿钙化及早发现

牙齿钙化是什么意思

宝宝牙齿出现白斑!妈妈们赶紧了解一下乳牙脱矿

牙齿出现白斑是不是坏了普通洗牙可以治吗

随机推荐

发现更多精彩图片

美国为了控制日本,是如何霸占东京领空的?

意大利地图图片素材

港台经典24款赌神字体设计

运锋 朝鲜族铁锅 阿里郎铸铁锅加厚珐琅炖锅老式生铁锅家用柴火焖米饭

谷建芬新学堂儿歌之 出塞

南天门北美黑胡桃48-68现代立柜带门佛龛供台家用财神爷供奉佛桌

青年画家武文博【梦幻荷塘】系列作品(一)

多路开关电源原理图

京选排气扇厨房家用抽风机12寸窗式抽油烟强力换气扇卫生间静音排风扇

施耐德(schneider)钢笔墨囊德国进口墨水胆欧标钢笔适用 蓝色 3盒/18