金属,魁北克,加拿大纸,捆,回收厂许多,欧元,捆收割麦田中药虫草一堆

高清图片下载 免费 安全无风险
金属,魁北克,加拿大纸,捆,回收厂许多,欧元,捆收割麦田中药虫草一堆

金属,魁北克,加拿大纸,捆,回收厂许多,欧元,捆收割麦田中药虫草一堆

点击图片查看原图

图片信息

  • 格式: JPG
  • 尺寸: 495x350
  • 大小: 约1.2MB

版权声明

相关标签

自然风光 高清壁纸 4K画质

分享图片

相关推荐

基于当前图片的相似推荐

一堆50真实欧元纸币 50-欧元纸币下橡胶带, 查出在黑色背景.

一堆一百张欧元钞票.

成堆的欧元纸币特写

一堆,欧元图片_一堆,欧元高清图片_全景视觉

白色背景上的一大堆欧元钞票

一叠一叠的欧元钞票,白色的背景,商业

成堆的钱.五百欧元照片

一堆欧元(包括剪裁路径)照片

随机推荐

发现更多精彩图片

毕加索梦抽象派艺术油画欧式客厅装饰挂画世界名画美式餐厅墙壁画

安利心目中的盛世美颜,大美女钟楚红神仙颜值棒棒哒!

卡通立绘黑头发白衣服女孩

奥斯卡红毯:克里斯·埃文斯|chris evans 美国队长,漫威微笑势力登场.

浙江华策影视股份有限公司

人渣反派冰秋请在我的光里坠落

常胜将军赵云之墓为什么至今无人敢盗传言墓穴周围有灵蛇守护

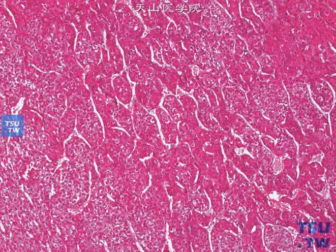
肾上腺区肝细胞性肝癌(原发性),示瘤细胞呈条索状排列,宽度不一.

深圳会展中心酒店 | 福朋喜来登酒店

植物染色系列之蜂巢扎染