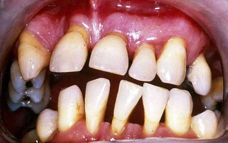
牙齿缺失以后,就留下了一个空隙,邻近的牙齿因失去均_圈子-新氧美容整

高清图片下载 免费 安全无风险
牙齿缺失以后,就留下了一个空隙,邻近的牙齿因失去均_圈子-新氧美容整

牙齿缺失以后,就留下了一个空隙,邻近的牙齿因失去均_圈子-新氧美容整

点击图片查看原图

图片信息

  • 格式: JPG
  • 尺寸: 1280x960
  • 大小: 约1.2MB

版权声明

相关标签

自然风光 高清壁纸 4K画质

分享图片

相关推荐

基于当前图片的相似推荐

牙齿缺失修复方法大揭秘

吕大哥长期吸 烟口腔卫生差.65岁吕大哥牙齿缺失多年,口腔卫 - 抖音

牙齿缺失的情况有哪些?

牙缺失不管,老年痴呆症都提前来找了!!_东莞口腔医院

牙齿缺失要及时修复,否则..._朱凌肃__爱问健康

长期牙齿缺失可能引起的4种后果

承德县医院口腔科丁艳欣的美篇 - 美篇

牙齿缺失不种植~千万美食都只如镜里看花!

牙齿掉了怎么办(掉一颗牙最好的补救办法)_好房365

牙齿缺失怎么办?如何修复

「公开报道」牙齿缺失做牙齿修复好不好?

你问我答:牙齿缺失久了还能种植吗(牙齿缺失10年了还可以修复吗)_"牙

随机推荐

发现更多精彩图片

3d bridge tower london model https://static.turbosquid.

素描切面头像范画步骤

蓝治愈蓝色系写真清冷水边照

出道第八年依旧hotseventeen正规四辑回归曲hot一键换装舞台混剪

蕉城法院召开自查从宽被查从严政策集中宣讲会

为什麼夏商周这三个朝代统治的时间如此的长久,夏朝451年,商朝600年

"吃春"去!西峡野菜正当时

而治疗肝包虫病的方法一般是根治性切除术,但由于难度大,成功率也不能