皮肤神经瘤

高清图片下载 免费 安全无风险
皮肤神经瘤

皮肤神经瘤

点击图片查看原图

图片信息

  • 格式: JPG
  • 尺寸: 500x375
  • 大小: 约1.2MB

版权声明

相关标签

自然风光 高清壁纸 4K画质

分享图片

相关推荐

基于当前图片的相似推荐

神经母细胞瘤是儿童最常见的恶性肿瘤,多在 5 岁内发病.

病例手术治疗小儿髓母细胞瘤伴脑积水一例

小儿谨慎髓母细胞瘤

做了穿刺活检,确诊女儿患的是神经母细胞瘤.

助诺诺继续治疗战胜神经母细胞瘤

贺晓生教授:婴儿神经母细胞瘤手术实例 - 好大夫在线

髓母细胞瘤是儿童期最常见的脑瘤,占 19岁的原发性中枢神经肿瘤贿者

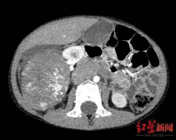
5岁男童肚中暗藏巨大神经母细胞瘤医护6小时联手取出

神经母细胞瘤女孩寻求帮助

随机推荐

发现更多精彩图片

张雪迎终于换发型干练短发配运动装清纯气质难道要出演高中生

迪丽热巴吊带礼服壁纸 1920x1200px

娜扎刘以豪谷嘉诚打造民国众生浮世绘

有没有适合作网易云音乐个性皮肤的壁纸

【geofs】上海浦东-北京首都 中国国际航空a350-900

中国最美十大现代建筑第一名举办过奥运会

年画娃娃春节备课素材收集儿童画

罗纳尔迪尼奥头像帅气图片点击鼠标右键下载

iphonexxsmax卡通系列迪士尼玛丽猫来自一颗酸苹果的壁纸库

画画原来如此简单#用硬币画白雪公主