嵌体为什么比牙冠贵牙齿做嵌体和牙冠的区别是

高清图片下载 免费 安全无风险
嵌体为什么比牙冠贵牙齿做嵌体和牙冠的区别是

嵌体为什么比牙冠贵牙齿做嵌体和牙冠的区别是

点击图片查看原图

图片信息

  • 格式: JPG
  • 尺寸: 984x467
  • 大小: 约1.2MB

版权声明

相关标签

自然风光 高清壁纸 4K画质

分享图片

相关推荐

基于当前图片的相似推荐

现在做的话 可能会更加熟练一些 但是 对于嵌体的设计与预备的

嵌体预备的要求及注意点

cad/cam瓷嵌体临床应用实操培训班|武汉站

用铸瓷嵌体补牙大约多少钱一颗它的价格是由龋坏的面积来算么

嵌体的设计预备和粘接

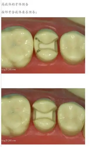
各类嵌体牙体预备的要求

科普丨嵌体的临床应用

2020年7月16兰州嵌体学习(侯铁舟教授)

瓷贴面瓷嵌体修复全步骤实操

谭建国刘明月一步一步做好嵌体高嵌体牙体预备

随机推荐

发现更多精彩图片

童年的夏天内附组图

张国荣去世15周年海报留恋

韩信–飞衡 q版 via @再让我睡会觉

时代少年团冬季神图

大众朗逸.#创作灵感 2020年11月上牌 大众朗逸1.4t - 抖音

感恩节答谢晚宴邀请函设计矢量素材

树枝上的绿虎皮鹦鹉

中国女排曝态度版海报冠军教头也有柔情

团员的权利和义务黑板报黑板报图片大全