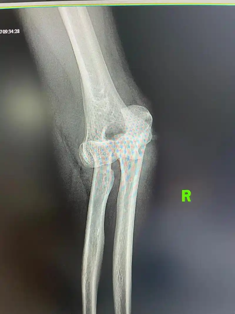
在医学上,桡骨头半脱位手法复位方案有很多种;中医伤科有伸肘牵引前臂

高清图片下载 免费 安全无风险
在医学上,桡骨头半脱位手法复位方案有很多种;中医伤科有伸肘牵引前臂

在医学上,桡骨头半脱位手法复位方案有很多种;中医伤科有伸肘牵引前臂

点击图片查看原图

图片信息

  • 格式: JPG
  • 尺寸: 507x227
  • 大小: 约1.2MB

版权声明

相关标签

自然风光 高清壁纸 4K画质

分享图片

相关推荐

基于当前图片的相似推荐

肘关节半脱位复位图解

急性肘关节脱位的6种手法复位方法

7大关节脱位?复位方法一篇搞定!

肘关节脱位复位手法

肘关节复位手法-伍玉文医生

急性肘关节脱位的6种手法复位方法

肘关节脱位治疗(2-1) 手法复位 拇指推顶复位法 膝顶拔伸法 拔伸屈

肩关节前脱位实用复位法:外展复位法

科普关节脱位三秒复位

肩关节脱位手法复位视频_挂云帆

医学影像 肘关节脱位,闭合复位.看看还有什么问题? - 抖音

随机推荐

发现更多精彩图片

空气刘海适合的脸型图片

刘德华情商太高了,出镜前不对稿也就算了,面对难题还能对答如流_马东

高清养眼绿色桌面壁纸1920x1200

西岸美术馆夜景 © 西岸美术馆

吕一:一顿火锅遇见爱情,结婚6年仍未孕,她的豪门生活幸福吗?

7万次播放 · 2天前珍宝岛卢小开镇店之宝终于完工了,媳妇可怜兮兮的

在回答题主的问题之前,我们先要了解一下膝关节前后十字韧带的解剖和

nba球队标志之印弟安纳步行者图片