何炅《明星大侦探第四季》剧照图片[3/6]_综艺_美桌网

高清图片下载 免费 安全无风险
何炅《明星大侦探第四季》剧照图片[3/6]_综艺_美桌网

何炅《明星大侦探第四季》剧照图片[3/6]_综艺_美桌网

点击图片查看原图

图片信息

  • 格式: JPG
  • 尺寸: 1024x1488
  • 大小: 约1.2MB

版权声明

相关标签

自然风光 高清壁纸 4K画质

分享图片

相关推荐

基于当前图片的相似推荐

综艺《青春旅社》高清剧照图片桌面壁纸

综艺节目《披荆斩棘2》将接近尾声,苏有朋接受采访,说了很多关于这场

国产益智类综艺盘点(下):"烧脑"的进阶之路

男女反串情感综艺节目大全(男女反串情感综艺节目大全免费观看)

何炅快乐大本营综艺节目剧照

杨洋icon综艺图片大全 杨洋花儿与少年2剧照图片第二辑

封面故事综艺的微缩社会学

浅析中国电视娱乐节目的现状与发展趋势

我们的歌第二季最新谭咏麟现场照图片_综艺_美桌网

你一定没看过的韩国最新综艺节目大推荐!

随机推荐

发现更多精彩图片

蒙古佳丽外媒评选出的蒙古国十大美女

河北邯郸姑娘艾楚怡问鼎中华小姐冠军(组图)

法属圭亚那南美大陆唯一的自留地为何没有独立建国

瑜伽瘦腿的动作(原来瑜伽就三角式可以收髋)

mood吉他谱24kgoldnc调简单弹唱谱2

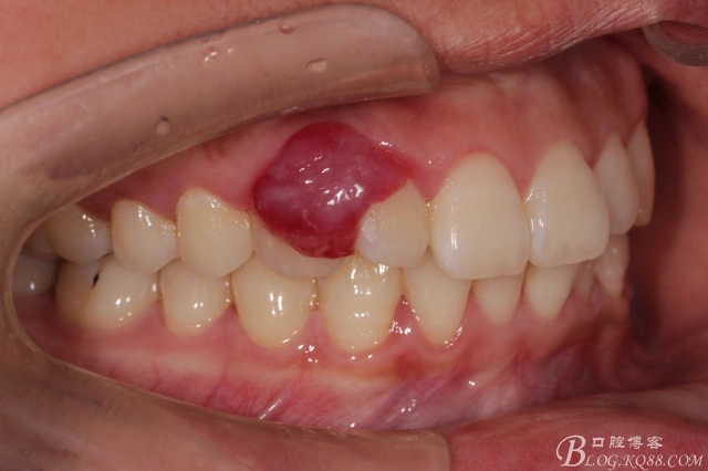
发一个牙龈瘤的病例yidianbalicdf的博客kq88口腔博客

北京南站到北京北站地铁怎么走北京南站到北京北站坐地铁怎么走

青铜器上的回纹身影一般出现在青铜器颈,腹,足等位置,做为地纹来烘托

手绘爱情玫瑰花底纹插画