dnf韩服时装市场搭配曝光大批穿搭值得借鉴大叔是绝对的c位

高清图片下载 免费 安全无风险
dnf韩服时装市场搭配曝光大批穿搭值得借鉴大叔是绝对的c位

dnf韩服时装市场搭配曝光大批穿搭值得借鉴大叔是绝对的c位

点击图片查看原图

图片信息

  • 格式: JPG
  • 尺寸: 600x404
  • 大小: 约1.2MB

版权声明

相关标签

自然风光 高清壁纸 4K画质

分享图片

相关推荐

基于当前图片的相似推荐

男鬼剑士时装改犬夜叉散搭补丁20220806-dnf补丁模型区 - 爱游戏,爱

【补丁】剑影二觉时装a款改散搭犬夜叉 附带剑影爆发连招

求助 男枪cos犬夜叉,沃特碧们的colg,dnf地下城与勇士 - colg社区

dnf:缝纫机已确认常驻,明年4月会再次上线,将再无绝版装扮

让小号告别裸奔男法全时装改天四犬夜叉

除了头部是第9套天空外,剩下的时装搭配,都能从商城中买到.

犬夜叉来也,沃特碧们的colg,dnf地下城与勇士 - colg社区

剑心,犬夜叉还有尔康?逆水寒玩家在游戏里用新时装秀起了cos

其次,绯樱套装扮能很好的cos各种动漫角色,例如犬夜叉,fate系列的冲田

于是很多玩家通过自己的搭配,就cos了很多动漫里的人物,像犬夜叉,像

【闪耀暖暖x犬夜叉】神乐灵感搭配61她是风 自由的风

随机推荐

发现更多精彩图片

精灵仙秀——杨紫全图写真合集

玻璃扶手钢夹简约楼梯上海嘉定别墅灰玻超白楼梯扶手

前苏联国旗 前苏联国徽

战争雷霆t80拿着次口径穿甲弹在低级房乱杀啦

美孚速霸1000/全合成机油

位于成都的国家精准医学产业创新中心.(受访者供图)

云南麦秆菊干花花束厂家批发菠萝菊雏菊七彩菊ins北欧风插画装饰

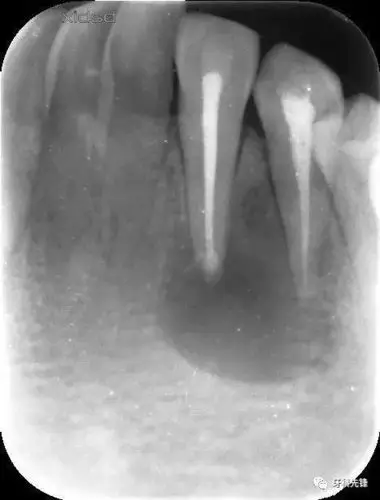
病例根管治疗囊肿刮除根尖切除mta根尖封闭同期完成

画圣吴道子代表作_画圣吴道子 豆瓣 - 成语词句网

微信骰子16表情包gif直接保存图片到手里然后微信表