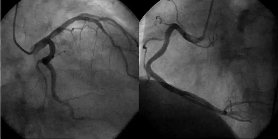
冠脉病变,造影确诊

高清图片下载 免费 安全无风险
冠脉病变,造影确诊

冠脉病变,造影确诊

点击图片查看原图

图片信息

  • 格式: JPG
  • 尺寸: 2000x2667
  • 大小: 约1.2MB

版权声明

相关标签

自然风光 高清壁纸 4K画质

分享图片

相关推荐

基于当前图片的相似推荐

冠脉造影术在局部麻醉下进行,而血管及心脏内均无感觉神经,患者只在

50岁男子做心脏造影刚2年突发心梗!医生:哪些人心血管更容易堵

清晰的心脏冠脉造影图片!

冠脉造影——诊断冠心病的"金标准"

冠脉造影术——叶县二院介入科

一是正好到了医院门口又被人发现了,及时治疗,二是心脏血管狭窄这么

着检查结果,拿着王医生开着住院证办理住院……检查结果心脏明显扩大

心脏循环有没有狭窄,下面这张图是一个有糖尿病,高血压的患者做的造影

冠心病血管造影图像

心血管出现狭窄,一定要下支架吗?要分3种情况权衡利弊

未必!这几种情况才需要做心脏造影

随机推荐

发现更多精彩图片

《原味的夏天》等剧崭露头角——后来的贺军翔出道时还被誉为小

可爱的无尾熊卡通.要上色的页面

少女时代徐贤,白衬衫牛仔裤,简单夏日时尚,迷人魅力,蚂蚁腰身

taetee04022018sbfiveminiconcert唱歌晚点名活动

潮汕民俗聊聊潮汕符头

这么伟大的脸 不炫耀一下真是可惜了 |onlyoneof 申揆彬kb

花仙精灵王简笔画小花仙图片所有精灵王简笔画步骤

无论你是打算母乳喂养宝宝到6个月还是2年,这都是一件不容易的事情.

组图:乃木坂46秋元真夏西野七濑出席活动 揭露庆祝