短发发型女学生圆脸露耳,10岁一12岁儿童短发发型有哪些,试试这几种

高清图片下载 免费 安全无风险
短发发型女学生圆脸露耳,10岁一12岁儿童短发发型有哪些,试试这几种

短发发型女学生圆脸露耳,10岁一12岁儿童短发发型有哪些,试试这几种

点击图片查看原图

图片信息

  • 格式: JPG
  • 尺寸: 640x636
  • 大小: 约1.2MB

版权声明

相关标签

自然风光 高清壁纸 4K画质

分享图片

相关推荐

基于当前图片的相似推荐

因为想养养头发才剪的头 最大的感觉就是洗头特轻松#女生短发发型

女生超短发帅气时尚 酷感十足超a短发 女生超短发发型设计#西安发型

现在流行什么发型女的(女生今年流行什么发型)

帅气2021超短发图片女 清新短发范本照着剪不出错_发型造型_宝妈时尚

女学生短发内扣发型图片

不同穿法呈现不同风格映像#西安发型设计 #女生短发发型

短发学生女发型显脸小少女日系甜美短发超适合圆脸女生

女生短发发型头发少 细软 头发帖的女生看过来头发太长就会贴是很多

颧骨宽下巴短女生适合的超短齐耳短发发型

女生短发发型设计时尚洋气的超短发发型想剪短发的妹子们可以参考

随机推荐

发现更多精彩图片

陈蓉和吴宗宪无论是作为评委还是主持人,风格都截然不同.

anta 安踏 kt3 team|篮球鞋男汤普森秋季透气防滑减震学生运动鞋子

苏-27战斗机 - 航空新视野 - 图虫

创意指纹画 幼儿园指纹画素材分享

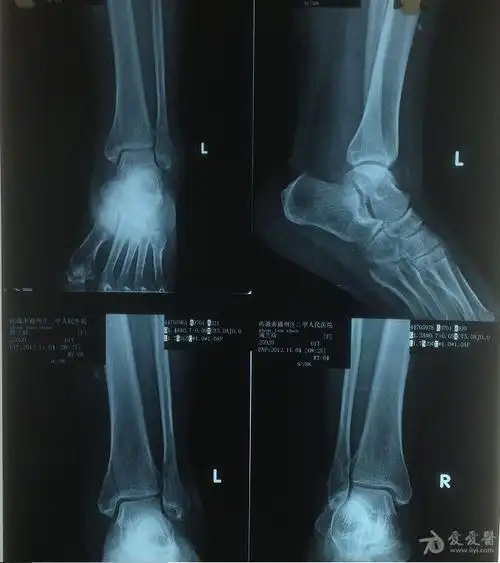
该内踝骨折需要手术吗

家有梧桐树自有凤凰来是什么意思

海景别墅现代简约风格客厅落地窗效果图

梁思成建筑手绘赏析03

过家家头像次子达米安