脏器触诊 (一)肝脏触诊:主要用于了解肝脏下 肝脏触诊: 缘的位置和

高清图片下载 免费 安全无风险
脏器触诊 (一)肝脏触诊:主要用于了解肝脏下 肝脏触诊: 缘的位置和

脏器触诊 (一)肝脏触诊:主要用于了解肝脏下 肝脏触诊: 缘的位置和

点击图片查看原图

图片信息

  • 格式: JPG
  • 尺寸: 1080x810
  • 大小: 约1.2MB

版权声明

相关标签

自然风光 高清壁纸 4K画质

分享图片

相关推荐

基于当前图片的相似推荐

腹部评估4ppt 腹部叩诊—脾脏叩诊 脾脏叩诊:因触诊不满 意或在肋 缘

放射科(医学影像科)学习-初章:推荐三本书,使用anki卡片来记忆医学

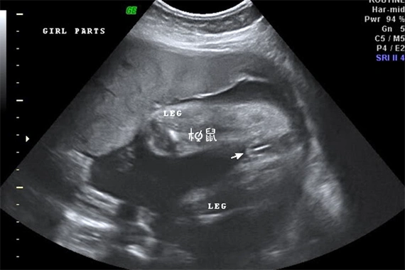
b超男宝三条线和女宝三条线对比图来了!学会自己就能做判断

肝脏触诊 腹壁紧张度 压痛反跳痛 脏器触诊 2.

护理健康评估ppt 肝脏触诊 1.

潍坊昌乐五图科目三考试中心三条线线路视频精讲课程#五图科目三 - 抖

正常腹部查体ppt_word文档在线阅读与下载_无忧文档

二胎确认男宝,俩儿子了

全身淋巴结检查,肝脏触诊以及脾脏触诊评分标准

各种要点口诀背诵:比如肝触诊→背诵版口诀为:两条线,平行放,吸气的

腹部触诊—肝脏触诊 触诊内容—质地:从软到硬分3度.

随机推荐

发现更多精彩图片

不错的童星我们的古装剧有个好处是:可以随时随地发现一些潜力小演员

王家卫的电影风格是如何影响你的摄影技巧的?

何洁赫子铭曾经是娱乐圈模范夫妻,如今却撕的那么难看!

麦丽素小包装巧克力儿时记忆零食小吃怀旧食品巧克力制品

男生寸头发型推荐 渐变寸头帅气爆棚_男士短发 - 美发站

很棒的一组3d人物建模作品欣赏!造型漂亮制作细节精美_动漫

深圳"第一现场"记者在十四届市花节上采访市民

中华小当家op1 4k超清60帧无字版

摄于北京金盏郁金香花园

月度收入支出明细表

深圳夏天不能错过的11个海滩,人少景美颜值高!

080美洲玛雅文明_老林说plus_千聊