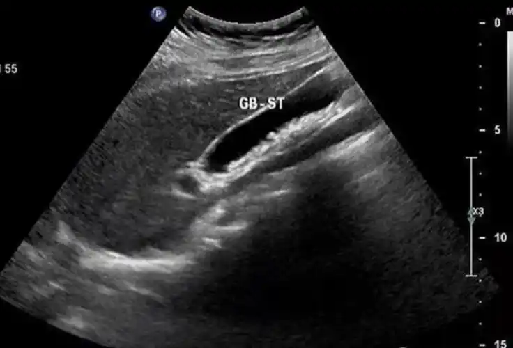
"吴先生其实有保胆的意愿,但他的结石正好卡在了胆囊颈部,且不能移动

高清图片下载 免费 安全无风险
"吴先生其实有保胆的意愿,但他的结石正好卡在了胆囊颈部,且不能移动

"吴先生其实有保胆的意愿,但他的结石正好卡在了胆囊颈部,且不能移动

点击图片查看原图

图片信息

  • 格式: JPG
  • 尺寸: 1200x1116
  • 大小: 约1.2MB

版权声明

相关标签

自然风光 高清壁纸 4K画质

分享图片

相关推荐

基于当前图片的相似推荐

胆囊结石,超声表现是这样的

胆囊结石,超声表现是这样的

胆囊壁厚,胆结石要不要切除胆囊?

年7月检查结果如下:从2022年三月b超结果可以看到,胆囊内大部分被结石

胆囊多发结石的超声描述内容.#超声影像典型案例 #胆结石 #

胆囊结石,超声这样表现

天津南开医院胆结石手术怎么样

长期不吃早餐查出胆结石?32岁女性改变习惯,3个月后改善明显

胆囊壁增厚6mm,多发结石,需要手术吗

胆囊结石彩超轻度脂肪肝报告胆囊结石报告胆囊萎缩充满型胆囊结石超声

随机推荐

发现更多精彩图片

王一博是怎样的雷宇?车坏在马路上,还能修,飞机在天上坏了怎么办?

图文:温碧霞签约-温碧霞入行29年

土到极致就是潮.#情侣头像 #优质情头 #荷花 - 抖音

靠自己打工人最光荣印章艺术字

供应330型砂轮式水稻去壳碾米机 苞谷小麦磕皮打米机价格低

python入门必备经典猜数字游戏

睛彩雅安76经开区看日出霞光璀璨金光似箭

纳联直流潜水泵农用电瓶小微型水泵农用高扬程迷你抽水机小曼龙款

带上全民去旅行#世界上最大的成吉思汗雕像,高达88.

二项分布的公式和e(x),d(x)

狼素描简笔最帅气的狼简笔画谁有狼的简笔画狼的简笔画霸气狼图腾头像

一种消防机器人耐高温履带悬架系统的制作方法