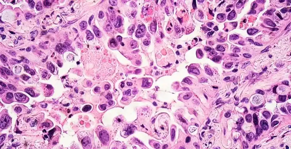
经典小细胞肺癌的病理影像分析

高清图片下载 免费 安全无风险
经典小细胞肺癌的病理影像分析

经典小细胞肺癌的病理影像分析

点击图片查看原图

图片信息

  • 格式: JPG
  • 尺寸: 1080x810
  • 大小: 约1.2MB

版权声明

相关标签

自然风光 高清壁纸 4K画质

分享图片

相关推荐

基于当前图片的相似推荐

经典回顾肺癌的病理影像学

肺磨玻璃结节是个淘气鬼(五):比较难对付的浸润性腺癌(iac)_肺癌_介绍

超级曲线诞生超千人最长随访肺癌二线治疗免疫完胜4年生存率是化疗近3

一文读懂肺癌病理报告

早期肺腺癌病理诊断若干问题

早期肺腺癌病理诊断若干问题

衡道丨干货肺腺癌的诊断体系浸润性肺腺癌

肺癌的主要病理类型及典型ct表现

左侧肺鳞癌,伴阻塞性肺炎一例——王兆宇

随机推荐

发现更多精彩图片

紧接着语文组的田蓓,张丽华,马渭丽三位老师分别与大家分享了田冰冰

我的剑将随着茹,命运,军刀,acg,动漫女孩,日本动漫,暮光之城壁纸

哭的头像女生伤心图片真实

甜美粉色系天真少女白皙唯美仙气精致写真,高清壁纸图片,大陆美女

爱豆4k头像blackpinklisa合集

华为c8813q(黑色)3g cdma2000/cdma c8813升级版1.

有颜值又低调,这里的山水不输桂林_衢州市_江郎山_风景

"小葱日食记"——回锅肉:这才是地道四川味道!

【招生简章】欢迎大家报考北京汇文中学

童年的爪子折纸.用正方形纸就能折出套在手指上的爪子.

天王表男士手表正品自动机械表男表皮带手表商务大气简约5885

为奥迪q5l天云灰代言