男人穿超高跟鞋,图片.

高清图片下载 免费 安全无风险
男人穿超高跟鞋,图片.

男人穿超高跟鞋,图片.

点击图片查看原图

图片信息

  • 格式: JPG
  • 尺寸: 500x393
  • 大小: 约1.2MB

版权声明

相关标签

自然风光 高清壁纸 4K画质

分享图片

相关推荐

基于当前图片的相似推荐

花花公子男士高跟鞋英伦商务正装皮鞋男发型师尖头鞋牛皮拉链男鞋黑色

新款男士英伦小皮鞋男尖头黑色高跟鞋

男士皮鞋尖头高跟男鞋夜场厚底皮鞋男神增高皮鞋理发师影楼高跟鞋

男生的高跟鞋margielatabi

爱森尚增高6cm男士高跟鞋英伦尖头皮鞋酒吧皮鞋夜店演出鞋增高男鞋

35-45 超大码男士高跟鞋44外贸款细跟尖头浅口43性感反串伪娘情趣

谁说猛男就不能穿高跟鞋了

【笑cry】男生穿高跟鞋去party是什么感觉?(生肉)

新款高跟男士皮摩登舞鞋成人软底耐磨跳舞鞋交际舞舞蹈鞋

柯盾(kedun)皮鞋男真皮男士商务休闲正装高跟鞋尖头增高英伦青年新郎

男士25cm高跟鞋超细跟图片 新闻_夜店二十五公分高超高跟凉鞋

优选好物甄选男鞋男士休闲皮鞋潮粗跟白色英伦尖头高跟鞋男发型师男鞋

随机推荐

发现更多精彩图片

杨洋纯白西装大片##杨洋雅顾光影大片质感

郑恺高冷写真曝光 神情冷峻酷帅有型

张含韵出道十六年,从未停止锻炼和旅行,她终于活成了心中的样子_照片

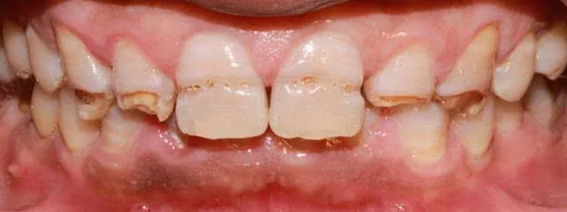
釉质表面发生白垩色改变,部 牙釉质发育不全怎么回事啊!

023-1-河南聚丙烯水封罐 液封罐 pp水洗槽

小知识:鲫鱼是淡水鱼还是海鱼(鲫鱼有哪些常见的品种怎么区分)-图11

87张 old school 风格纹身图案欣赏

谁知道绿色双马尾的动漫人物

安全交通标志牌的图片及其含义doc

累瘫了的图片 卡通累瘫了搞笑高清图片_微信头像图片大全

【160店通用】鲜丰水果