女人过了50岁最火的还是剪短发利落时尚有气质

高清图片下载 免费 安全无风险
女人过了50岁最火的还是剪短发利落时尚有气质

女人过了50岁最火的还是剪短发利落时尚有气质

点击图片查看原图

图片信息

  • 格式: JPG
  • 尺寸: 1080x1350
  • 大小: 约1.2MB

版权声明

相关标签

自然风光 高清壁纸 4K画质

分享图片

相关推荐

基于当前图片的相似推荐

年过50的女人,留什么发型显年轻?试试这3款"短发",减龄洋气

50岁的女人,建议把头发剪短一点,这几款减龄短发,很显年轻

50岁女性波波头剪成"挂耳短发",时尚显年轻,气质真好

女人过了50岁,发型这样剪,洋气时尚显气质

为什么很多女人过了50岁都会剪短发?

适合40一50岁女性短发发型图片

50岁女性剪露耳短发才真减龄2022年中老年女士前卫时尚超短发设计

50岁女人别被这3款阿姨短发迷惑俗气又显老剪错变大妈

五十岁的女人短发发型

50岁也可以留短发,这些都很好看

原创50岁女人的头发宜短不宜长不信看这4款短发烫洋气又减龄

中年女性剪什么短发好看,50一60岁女人烫发发型-图1

随机推荐

发现更多精彩图片

1218 覃婕 2264当前票数:1488 郁明 17694当前票数:12393 朱辉&付诗琦

组图:exo都暻秀最新军营照公开 将于1月25日退伍

ins冷淡风朋友圈壁纸背景杂图侵权删

运动会加油牌 第一次当运动员,加油

建筑施工企业"五牌一图"讲课讲稿

《亚运会门票》3~6岁创意美术 听说亚运会延期了 想起以前学生时期最

是画给同学的头像 放上来证明我还活着(?

《王者荣耀》典韦战鼓燎原皮肤有什么技能

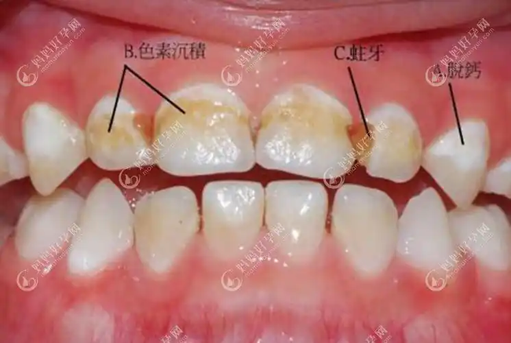
宝宝前门牙有点钙化怎么办婴幼儿牙齿钙化会自愈恢复吗

让人怦然心动的侧颜