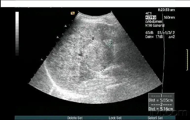
【超声】肝破裂超声,请战友欣赏

高清图片下载 免费 安全无风险
【超声】肝破裂超声,请战友欣赏

【超声】肝破裂超声,请战友欣赏

点击图片查看原图

图片信息

  • 格式: JPG
  • 尺寸: 640x476
  • 大小: 约1.2MB

版权声明

相关标签

自然风光 高清壁纸 4K画质

分享图片

相关推荐

基于当前图片的相似推荐

1.巨大肝破裂,贯穿尾状叶

论坛 69 ★临床检查区 69 超声医学讨论版 69 肝破裂.

肝ca自发性破裂 - 超声医学讨论版 - 爱爱医医学论坛

请教外伤性肝破裂术后胆汁瘘的后续治疗

论坛 69 ★临床检查区 69 超声医学讨论版 69 肝破裂.

论坛 69 ★临床检查区 69 超声医学讨论版 69 肝破裂.

超声入门贴157肝破裂

险南平一小伙醉酒不慎摔了一跤致肝破裂医生死亡率高达80以上

内脏损伤的超声诊断|胰腺|破裂|损伤|实质|脏器|-健康界

内脏损伤的超声诊断

随机推荐

发现更多精彩图片

能让papi酱和沈腾同台搞笑,也只有她了

小伶玩具日本食玩手工diy迷你自制儿童糖果小玲冰淇淋食玩套装

玻璃碎了!-爱卡汽车网论坛

炸鸡的轮廓图标在白色的背景上

狠狠显白住蘸一点点晕染就可以啦刷头好涂很简单滴搭配低饱和雾霾蓝

贴片钽电解电容正负区分技巧贴片坦电容正负极图解

hrd antwerp在线小课堂 看腻了圆钻?时髦精都爱的异形钻你值得拥有!

广告人必看2020全球101张创意网红打卡美陈效果图文末附网盘链接

魔术方块三阶六面速解法.doc

广东街头彪悍瞬间:三女子放倒二男子!点赞