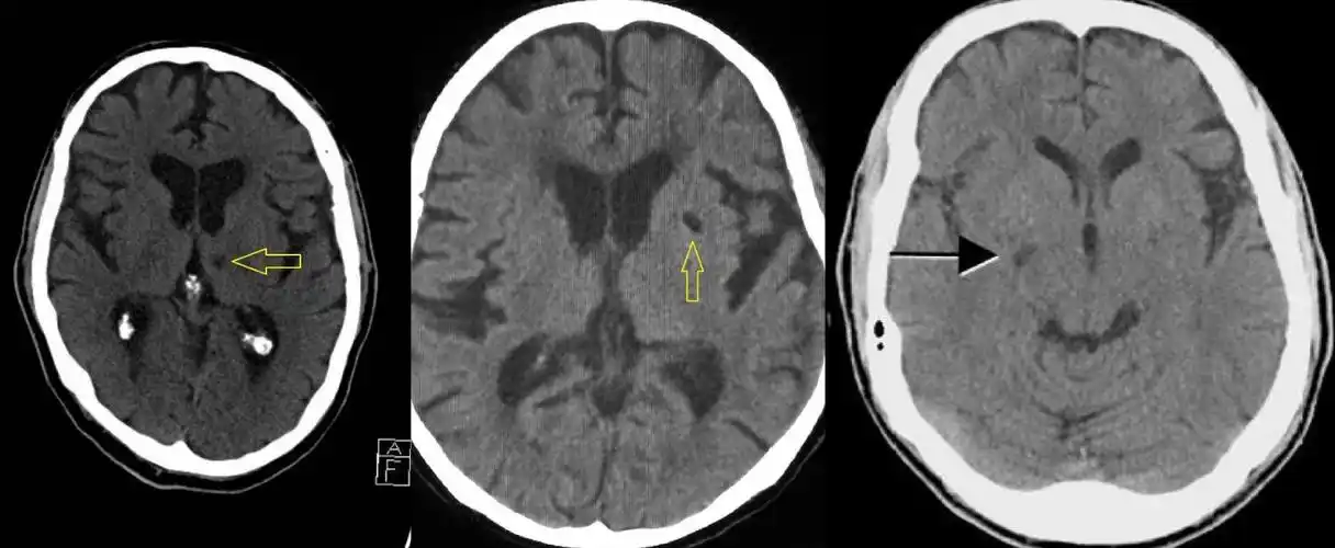
原创贺晓生教授拍案发言警惕婴幼儿颅脑损伤后广泛脑梗塞

高清图片下载 免费 安全无风险
原创贺晓生教授拍案发言警惕婴幼儿颅脑损伤后广泛脑梗塞

原创贺晓生教授拍案发言警惕婴幼儿颅脑损伤后广泛脑梗塞

点击图片查看原图

图片信息

  • 格式: JPG
  • 尺寸: 4128x2322
  • 大小: 约1.2MB

版权声明

相关标签

自然风光 高清壁纸 4K画质

分享图片

相关推荐

基于当前图片的相似推荐

术前头颅ct可见右侧大脑中动脉血栓 aspects评分 10分

【病例讨论】大面积脑梗塞溶栓1例 [病例帖]

67超急性期大面积脑梗死ct平扫表现

【病例讨论】大面积脑梗塞患者拒食,如何处理? [病例帖]

急性脑梗塞典型病例分享

其它 韩希忠,男,61岁,右侧小脑半球脑梗死,急性梗

5大ct征象诊断脑梗死

3月8日左侧颈内动脉支架,白玉权,男,63岁

汇总超早期脑梗死ct征象

"腔隙性梗死"_脑梗塞_疾病介绍_介绍 - 好大夫在线

随机推荐

发现更多精彩图片

比同龄的王源早一步踏入演艺圈,在公司的选拔过程中凭借着歌声和舞蹈

塑料儿童充气游泳池户外大型室内家用防磨加厚游泳池

男生证件照p图02最最齐全西装模板yyds 这样的男士西装模板还有谁不

本期来聊聊火影忍者《博人传》动画278集的剧情,漩涡博人乘坐雷车

霓虹甜心吉他谱(图片谱,弹唱)_马赛克 - 吉他社

凹凸世界 #图片来自网络 #流量 #金#格瑞#雷狮#紫堂幻 - 抖音

鲁南高铁巨野北站建设快速推进

短发女孩也可以性感可爱梁洁

地理探究开凿克拉运河缘何成为烫手山芋泰国为何不凿通克拉地峡取代