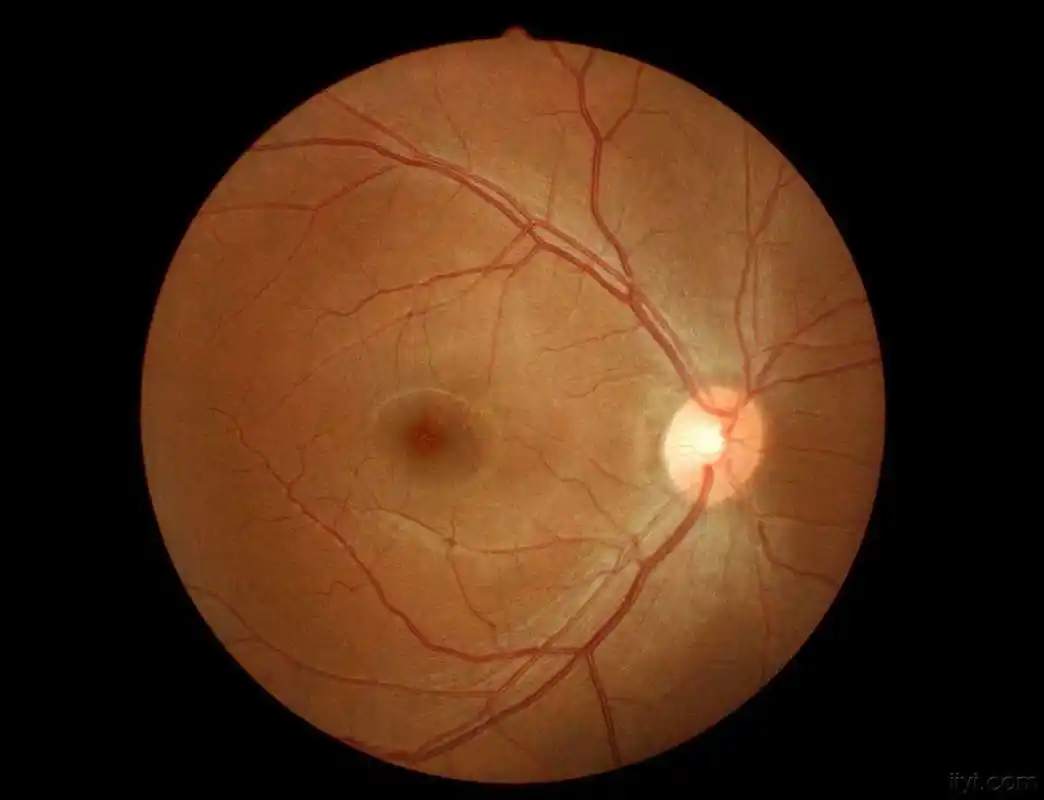
科普一下 高度近视人群常由于眼轴明显延长,眼球后极部扩张等 - 兑趑

高清图片下载 免费 安全无风险
科普一下 高度近视人群常由于眼轴明显延长,眼球后极部扩张等 - 兑趑

科普一下 高度近视人群常由于眼轴明显延长,眼球后极部扩张等 - 兑趑

点击图片查看原图

图片信息

  • 格式: JPG
  • 尺寸: 1024x901
  • 大小: 约1.2MB

版权声明

相关标签

自然风光 高清壁纸 4K画质

分享图片

相关推荐

基于当前图片的相似推荐

实拍1000度高度近视的眼珠子长什么样

图为正常眼球和近视眼球的对比图

正常眼球和近视眼对比示意图

近视眼明明不可逆,为什么视力还能提升呢!

通常,近视度数越高的话,眼球就会被(拉)得越长,高度近视眼患者的眼球

高度近视不仅影响眼睛外观,因眼轴延长,造成眼球凸出,还会发生眼球壁

从临床来看,眼球突出是所有近视眼患者的共同毛病,有些人虽然表面看不

专家就眼球的结构和眼球因近视产生的变化进行了深入地讲解.

新视力自然疗愈带领大家一起来了解眼球结构

近视导致眼球突出##眼球突出##突眼矫正##眼球突出并非因为长拼戴

定期给孩子眼睛量一量"身高",高度近视早预-青岛即墨同德眼科医院

眼科梁秀栋:近视长期戴眼镜,眼睛变凸了怎么办?_眼球_角膜_手术

随机推荐

发现更多精彩图片

可爱上课传纸条小表情超萌手帐贴纸简笔画

097月29日站内换乘分享:到武汉站后,下了火车就找便捷换乘直梯(图1)

素描静物苹果完整步骤图

姚明去nba给了篮协多少钱(2017年,将cba30%股份卖给20支球队,姚明带领

毛林林饰演的谭雅智商在线,果断离婚,可男方的设定也太无脑了吧

魔鬼恋人 #小森唯 唯妹来了. - 抖音

日本高中学校的校服

(1472-1528),字伯安,更名为守仁,曾筑室于绍兴阳明洞中,世称"王阳明"

猫咪 可爱 毛茸茸 我没钱啦

邂逅中国古建筑之魅力汉代建筑中的瓦当元素

原创赵奕欢换泳衣下水看到她的身材后爷青回