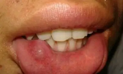
去了一个小门诊看医生也不敢确定是什么东西,叫去大医院口腔科看一下

高清图片下载 免费 安全无风险
去了一个小门诊看医生也不敢确定是什么东西,叫去大医院口腔科看一下

去了一个小门诊看医生也不敢确定是什么东西,叫去大医院口腔科看一下

点击图片查看原图

图片信息

  • 格式: JPG
  • 尺寸: 408x450
  • 大小: 约1.2MB

版权声明

相关标签

自然风光 高清壁纸 4K画质

分享图片

相关推荐

基于当前图片的相似推荐

黏液腺囊肿,患者主要表现为口腔黏膜下浅蓝紫色的半透明小疱,囊 - 抖

楼主踏青放牛2014-06-07 04:04:12粘液腺囊肿是口腔常见病,其表现为

口腔囊肿 (24)_有来医生

黏液腺囊肿为口腔黏膜小唾液腺导管阻塞后分泌液潴留而形成的浅表囊肿

口腔科副主任高金波:口腔内水疱,当心是黏液囊肿

【病例讨论】舌下腺囊肿 - 口腔专业讨论版 -丁香园论坛

舌下腺囊肿图片_舌下腺囊肿症状表现图片大全_有来医生

专家提醒:出现这些情况,建议谨慎对待|口腔|囊肿|口腔溃疡|牙齿_网易

口腔颌面囊肿病因_症状_治疗方法_用药_饮食_专家在线咨询_手机求医网

随机推荐

发现更多精彩图片

周杰伦jay专辑壁纸,总有一款适合你

iblender中文版插件 在 blender 中创建科幻导弹_搅拌机游戏中时光

5支蒙牛随变雪糕香草巧克力冰淇淋75g小时候冷饮冰淇淋

枪械高清大图型号您都认识吗

【科普】医生让你"脱衣服"?这是有原因的

第15课无羁10秒就可以学会的歌曲流行音乐古风钢琴简谱抖音热

老照片十九世纪的英国伦敦世界第一大都市

眼镜王蛇ophiophagus hannah