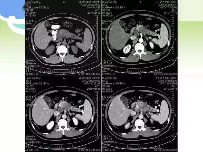
【病例】胰腺癌1例ct影像表现

高清图片下载 免费 安全无风险
【病例】胰腺癌1例ct影像表现

【病例】胰腺癌1例ct影像表现

点击图片查看原图

图片信息

  • 格式: JPG
  • 尺寸: 1024x744
  • 大小: 约1.2MB

版权声明

相关标签

自然风光 高清壁纸 4K画质

分享图片

相关推荐

基于当前图片的相似推荐

患者因胃部不适至医院检查,无意中发现胰腺肿瘤,pet/ct提示胰腺癌伴肝

首诊不可切除的局部晚期胰腺癌就没有办法行根治性手术了吗?

75岁胰腺癌海扶治疗仅用半小时

【病例】胰头癌1例ct影像表现

ct等相关检查后,医生发现患者胰头部占位病变,考虑到胰腺癌可能性大

胰腺癌科普之胰腺癌分类 - 好大夫在线

胰头清晰,颈部稍长t2信号胰腺癌ct增强扫描:胰腺头部,体尾部早期均匀

胰腺癌晚期谨慎选择开腹手术

【读片】胰腺癌 [病例帖]

随机推荐

发现更多精彩图片

2020抖音壁纸最近很火的,抖音流行的壁纸

汪啊虎虎表情使用手册

星空背景图:每个人都曾拥抱过青春,也许是幸福的,也许是痛苦的

《王者荣耀》东方曜的上线成了峡谷第一话痨,请好好打架少说两句!

孟美岐头像/by沈灿阳

9月9日,辽宁男篮的两张海报都没有郭艾伦_赛季_进展_导火索

三年级数学下册手工作品表

黑林错觉:黑林错觉图片,视觉方面的错觉【视频】

钻22孔夹具设计装配图pdf