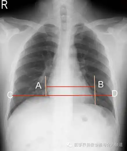
胸部平片怎么读?

高清图片下载 免费 安全无风险
胸部平片怎么读?

胸部平片怎么读?

点击图片查看原图

图片信息

  • 格式: JPG
  • 尺寸: 640x480
  • 大小: 约1.2MB

版权声明

相关标签

自然风光 高清壁纸 4K画质

分享图片

相关推荐

基于当前图片的相似推荐

胸部x线摄影体位及临床意义

定位:因为肺叶,肺段相互之间有重叠,所以仅有正位片时,除肺尖部病变

及器官形成鲜明的自然对比,胸部x线平片为诊断提供了极为有利的条件

手把手教你阅读平片之胸部平片

医学影像入门必读:如何阅读胸部平片?——分5步!

存在体表金属异物的胸部正位平片,图片来自镇安县医院影像科

胸部平片读片技巧浙大二院放射科王丽华

全面解密:正确的,正常的,胸部正位片!

胸部x线,这么看你简单多了

随机推荐

发现更多精彩图片

和平精英狗杂简笔画怎么画

中古「95新」bvlgari宝格丽bzero1白色陶瓷二环750玫瑰金55号戒指

分享一波科比绝佳头像!"英雄是一时的,但传奇是一世的!

新管长沙曙光电子管天籁之音cv181-t代cv181-z,6sn7gt,6n8p

再过两周地铁8号线试运行新站台让人眼前一亮

杨幂的421事件到底是什么?

脊柱影像解剖和峡部裂的影像学表现

上海同济大学附属东方医院整形美容科

钢琴曲:《往日时光》

三炷香72图解高清图最全烧三炷香的图解

实拍印度女人的"贞操枷锁"