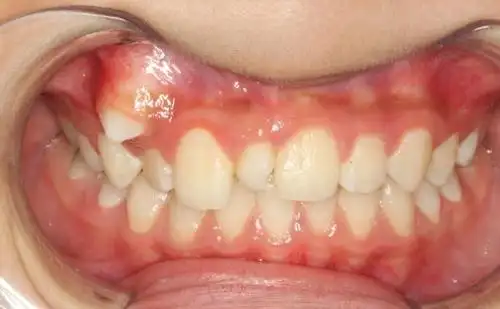
右下颌45间多生牙

高清图片下载 免费 安全无风险
右下颌45间多生牙

右下颌45间多生牙

点击图片查看原图

图片信息

  • 格式: JPG
  • 尺寸: 5184x3456
  • 大小: 约1.2MB

版权声明

相关标签

自然风光 高清壁纸 4K画质

分享图片

相关推荐

基于当前图片的相似推荐

宝宝有多生牙怎么办这些危害家长要重视

根据全口曲断片判断埋伏多生牙位置,探查

多生牙长出的位置不好应该要拔除吗

男孩患罕见多齿症长300颗牙齿一嘴都是牙齿好恐怖图

孩子出现多生牙别慌

多生牙_介绍_治疗方式 - 好大夫在线

成人上下颌双侧前磨牙区7颗多生牙病例分析

术前口内情况,一颗多生牙长于腭侧骨内可见

碰到喜欢玩"潜伏"的多生牙,该怎么办?

多生牙10岁6个月能扒吗

逆生长的多生牙你见过吗

吓人的双排牙宝宝越来越多跟家长的一个坏习惯有关早点改

随机推荐

发现更多精彩图片

不要捏啦98.#miku #初音未来 #插画 #q版人物 - 抖音

邓超个人资料简历(街头混子改邪归正,登上人生巅峰) - 龙腾网

今天,广平和大名各发生一起少年溺水事件

【史图馆】北约华约与集安组织历年成员变化

如懿传之嘉妃金玉妍6015清宫服饰盘点

原创手绘团结友爱互相帮助小报模板线描手抄报-版权可商用

看到游戏有小弹簧奈布的红夫人和杰克控制不住的无声尖叫,全程星星眼

赵薇打孕妇(赵薇为何打孕妇)

沙雕哈利波特表情包