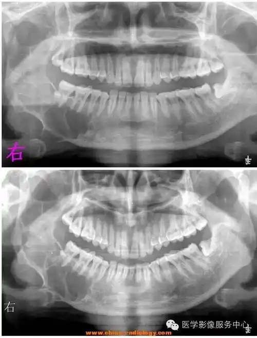
少见下颌骨成釉细胞15年后瘤颊部异位复发非本专勿进

高清图片下载 免费 安全无风险
少见下颌骨成釉细胞15年后瘤颊部异位复发非本专勿进

少见下颌骨成釉细胞15年后瘤颊部异位复发非本专勿进

点击图片查看原图

图片信息

  • 格式: JPG
  • 尺寸: 303x261
  • 大小: 约1.2MB

版权声明

相关标签

自然风光 高清壁纸 4K画质

分享图片

相关推荐

基于当前图片的相似推荐

下颌骨病例有病理病理结果造釉细胞瘤

【病例】下颌骨造釉细胞瘤1例x线及ct影像表现

右下颌骨成釉细胞瘤_手机搜狐网

右下颌骨成釉细胞瘤

下颌骨病例有病理病理结果造釉细胞瘤

【高尚病例】颌骨造釉细胞瘤_肿瘤_密度_局部

下颌骨病例有病理病理结果造釉细胞瘤

右下颌骨成釉细胞瘤_手机搜狐网

下颌骨病例有病理病理结果造釉细胞瘤

右下颌骨成釉细胞瘤_手机搜狐网

下颌骨病例有病理病理结果造釉细胞瘤

随机推荐

发现更多精彩图片

中央电视台主持人名单(中央电视台女主持人全部名单)

【重磅】霉霉taylor swift第七张个人专辑同名单曲"lover"歌词版mv

泰剧《烈火·情牢33》美女答应陪少主一起参加活动,没想到换来这样的

头车花婚车花 主婚车创意个性花车装饰结婚车头韩式吸盘式用品辉导

红鱼驰骋长安街----"四九城第一线""长安街一哥""728路西段"北京公交1

海外直订a girls guide to life 《女孩生活指南》

neca大比例系列 1/4系列 电影 13号星期五4 杰森

新闻资讯wetaworkshop魔戒电影20周年系列索伦sauron16雕像预售开启

加框,加卡纸,加场景【使用步骤】点击打开「传图加画框」小程序95