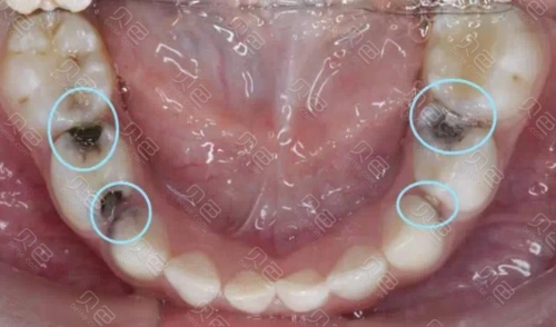
邻面龋很容易导致牙齿嵌塞,残留的食物在细菌的作用下会释放更多有害

高清图片下载 免费 安全无风险
邻面龋很容易导致牙齿嵌塞,残留的食物在细菌的作用下会释放更多有害

邻面龋很容易导致牙齿嵌塞,残留的食物在细菌的作用下会释放更多有害

点击图片查看原图

图片信息

  • 格式: JPG
  • 尺寸: 402x243
  • 大小: 约1.2MB

版权声明

相关标签

自然风光 高清壁纸 4K画质

分享图片

相关推荐

基于当前图片的相似推荐

【病例分享】前牙邻面龋的治疗技巧_手机搜狐网

邻面龋牙周炎矫正期可以使用吗?

病例分享前牙邻面龋的治疗技巧

小心邻面龋,一颗坏成俩! - 知乎

病例分享前牙邻面龋的治疗技巧

邻面龋真的要好好注意

居然会腐蚀的这么严重!邻面龋的可怕!

日积月累,肆无忌惮的细菌,真能在你的牙缝里开个洞,也就是「邻面龋」

随机推荐

发现更多精彩图片

12岁小男孩子益智手工3d模型木质飞机汽车儿童立体拼图玩具7

全智贤二胎?又要看不到女神,不开心

中超最佳阵容揭晓,武磊双响闪耀全场,泰山前锋独中三元

青少年学生龟仙人七龙珠卡通动漫周边秋冬加绒连帽卫衣男套头帽衫

点点_女生头像_我要个性网

蓝乳英短含矮脚猫配色方案

我超甜富婆姐姐看看我超甜富婆姐姐看看表情

天津报关公司报关单样本_天津港报关公司,天津进口报关公司,天津报关

【可可油500】可可油500品牌,价格 - 阿里巴巴

马猴烧酒兔美酱做的老北京豆沙奶卷

超能 天然皂粉mes绿色活性去污清怡柠檬草 1.688kg 单位:袋