评价李小龙,李小龙太小只了,但是,他的肌肉真的很发达_健身_健美_身材

高清图片下载 免费 安全无风险
评价李小龙,李小龙太小只了,但是,他的肌肉真的很发达_健身_健美_身材

评价李小龙,李小龙太小只了,但是,他的肌肉真的很发达_健身_健美_身材

点击图片查看原图

图片信息

  • 格式: JPG
  • 尺寸: 874x1157
  • 大小: 约1.2MB

版权声明

相关标签

自然风光 高清壁纸 4K画质

分享图片

相关推荐

基于当前图片的相似推荐

00后健美运动员-小李,早起训练-度小视

全球最年轻健美运动员16岁小李与两届奥赛古典健美冠军相约练胸肌

当奥赛健美明星穿上普通人的衣服时

古典健美,古典健美造型,小个子却有1.8米的既视感

健美型身材但真正引起人们注意的小李目前效力于校足球队在校学生今年

50岁的李·普瑞斯特,被誉为健美界最好的手臂,身高仅162厘米!

拥有无与伦比的小臂不玩健美卖起了手表

【中字】小李对健身"隐背症"的调侃|健美运动员人均小品演员【jisa】

健美基础 健身派系人群分析指导 2011-05-03 16:04:07 来源:未知

小李vs罗利温克拉|健美史上难以置信的手臂|健身精神氮泵【jisa】

和小李相似,巨臂哥也是著名的"实话实说".

小力王bradleymartyn和特里斯汀李一起训练背部

随机推荐

发现更多精彩图片

2020最新美杜莎纹身图案大全男女18

黄维德新形象曝光 尽显优质雅痞大叔范儿

把美女ps成像奥特曼一样的巨人视觉效果会怎样

简单又好看的窗花#抖音图文来了 #亲子手工 #剪纸教程 #新 - 抖音

锂电水泥收光机清光无线混凝土小型轻便抹平机电抹子地坪找平背包电池

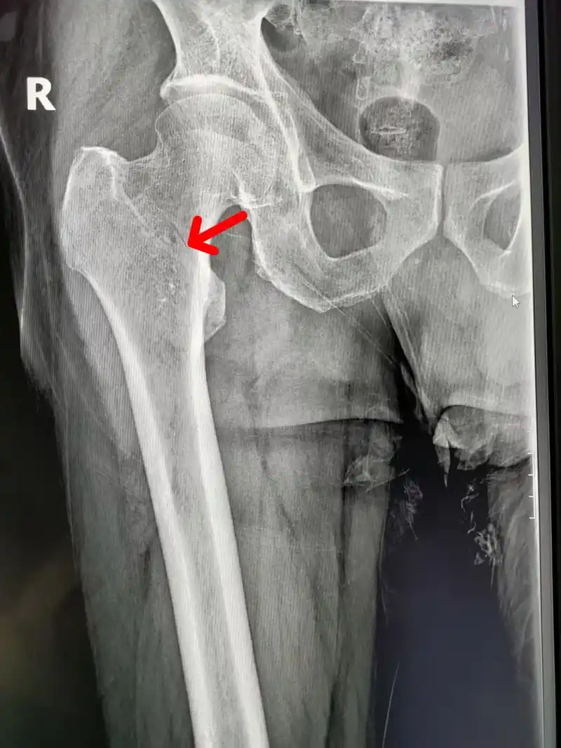
男,67岁,因滑倒就诊,右股骨粗隆间骨折,就是我们老百姓说的大腿根的

"愿天空一直蓝,愿你天天开心"#电脑壁纸 #动漫 #高清壁纸 - 抖音

【我的作品我的画】34 少年六耳猕猴

卧室放床的摆放风水_家居风水卧室床的摆放_卧室摆放风水床放哪里好

简笔画线条手绘火车车头png素材火车火车头高铁轻轨高铁车头停靠火车

华为m-pencil(第二代)手写笔使用体验