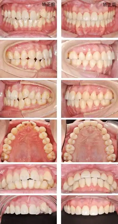
戴时代天使双模牙套矫正虎牙的过程就是痛并快乐着

高清图片下载 免费 安全无风险
戴时代天使双模牙套矫正虎牙的过程就是痛并快乐着

戴时代天使双模牙套矫正虎牙的过程就是痛并快乐着

点击图片查看原图

图片信息

  • 格式: JPG
  • 尺寸: 556x391
  • 大小: 约1.2MB

版权声明

相关标签

自然风光 高清壁纸 4K画质

分享图片

相关推荐

基于当前图片的相似推荐

虎牙矫正两年后的效果.jpg

虎牙対刃拥挤,19个月地包天男孩重获自信笑容

在济南品洁口腔矫正虎牙83天晒我的虎牙戴牙套变化图

牙齿重度拥挤 | 虎牙男孩矫正记

深圳格伦菲尔口腔虎牙矫正前后对比图

有虎牙需要戴牙套做牙齿矫正吗注意虎牙可能潜伏有隐患

"虎牙妹变形记"搞定两颗虎牙从此土包子变小仙女

虎牙破坏气质?小姐姐矫正变身成熟女神!

虎牙矫正,刚把下牙套带上,还不知道需要多久摘牙套

虎牙妹妹矫正,绽放自信笑容

虎牙妹妹矫正前后对比

牙齿拥挤有虎牙矫正案例原创

随机推荐

发现更多精彩图片

▌孔子见老子画像石

作为tfboys成员和乐事大波浪薯片代言人,王源的广告事业蒸蒸日上.

你的微信头像该换啦多款真人卡通手绘头像看着也太可爱了吧

演员吉他谱(图片谱,尤克里里,弹唱)_薛之谦_演员3(演员).jpg

哪个市这张是敦煌及周边的卫星地图莫高窟位于中国甘肃省敦煌市东南部

劳斯莱斯·bb版库里南 展厅现车外观;钻石黑内饰;绿松石

愤怒gif angrygif 恐怖gif 怒吼gif

展开全部 90年代的 林肯-城市