鞠婧祎 #snh48一路有你夏季演唱会 #御姐风细跟高跟鞋

高清图片下载 免费 安全无风险
鞠婧祎 #snh48一路有你夏季演唱会 #御姐风细跟高跟鞋

鞠婧祎 #snh48一路有你夏季演唱会 #御姐风细跟高跟鞋

点击图片查看原图

图片信息

  • 格式: JPG
  • 尺寸: 1920x2904
  • 大小: 约1.2MB

版权声明

相关标签

自然风光 高清壁纸 4K画质

分享图片

相关推荐

基于当前图片的相似推荐

鞠婧祎life图 这个腿嘶哈嘶哈 对镜拍可甜可御女鹅感

鞠婧祎的大长腿! 今晚的约会,就要这么美美哒!

鞠婧祎给自己的腿拍这么长,实际有吗

鞠婧祎美腿写真大赏:优雅与性感的完美展现,一步一风情,美腿如画

小鞠大长腿#鞠婧祎美图来啦 #鞠婧祎 取图抖音搜索神图君口令

鞠婧祎 #鞠婧祎氛围感穿搭盘点 #大长腿

鞠婧祎这大长腿线条真优美

鞠婧祎美拉德风穿搭 不得不说鞠婧祎的骨感真的非常好看!

鞠婧祎黑丝太迷人,能将性感可爱完美结合的美少女

鞠婧祎营业自拍美照,路人纷纷侧目,这腿是真实的吗?

随机推荐

发现更多精彩图片

陈都灵刘宪华写真照曝光亲密相拥亲吻额头网友干了这碗狗粮

2020年表演类艺考生,来自河南 眼前的这个男生五官立体,英气十足

地上的血迹是老人留下的

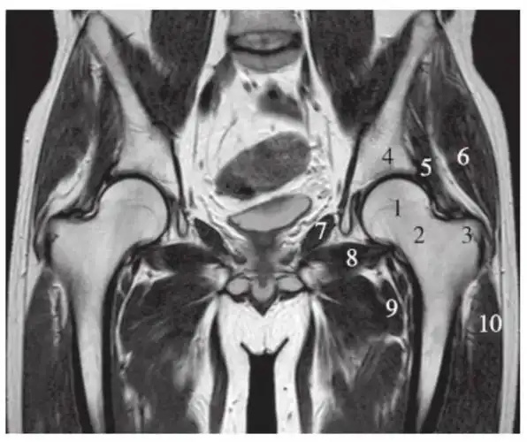
一文掌握正常髋关节mri解剖示意图

圣斗士星矢黄金圣斗士插画图片壁纸

江口县第十六届人大常委会第三十四次会议召开

春田花花幼儿园庆六一文艺汇演!

布偶猫会抓老鼠吗?论捕鼠能力,还得是中国本土猫!

书籍封面版式设计,往期版式课部分学生的作业.

徐娘半老的她,风韵犹存.

六安高一英语辅导班