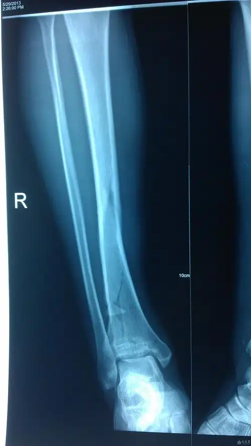
一例不用担心后踝有骨折的胫骨中下段螺旋形骨折

高清图片下载 免费 安全无风险
一例不用担心后踝有骨折的胫骨中下段螺旋形骨折

一例不用担心后踝有骨折的胫骨中下段螺旋形骨折

点击图片查看原图

图片信息

  • 格式: JPG
  • 尺寸: 3456x4608
  • 大小: 约1.2MB

版权声明

相关标签

自然风光 高清壁纸 4K画质

分享图片

相关推荐

基于当前图片的相似推荐

21岁 女 胫骨螺旋性骨折 需要手术么 有x片

阻挡钉技术在股骨下段螺旋形骨折中的运用

胫骨远端长螺旋形粉碎性骨折

胫骨远端螺旋形骨折手术髓内钉治疗分享

胫骨下段腓骨上段螺旋形骨折的治疗方案

曹某某,男,15岁,诊断:右胫腓骨螺旋形骨折,闭合复位mipo接骨板技术内

胫骨远端长螺旋形粉碎性骨折

61岁患者因车祸致股骨中下段螺旋形粉碎性骨折

胫骨下段螺旋骨折闭合复位髓内钉阻挡钉技术

有时股骨体也会发生螺旋形骨折,可能为粉碎性骨折且骨折块发生移位.

胫腓骨粉碎性螺旋形骨折

随机推荐

发现更多精彩图片

回眸绚烂那些从太空中拍摄的地球图片

张楚楚出场费张楚楚代言费张楚楚商演报价张楚楚pr广

原创作品插画创作习作吴孟达简笔达叔suga良仁仙灵广记之胡三2293suga

小小的瓶子,长长的纸绳,在我们的小手中变成了一个个既好看又实用的

第265期澳门六合资料(点击查看) (辅助功能视图)

森林里的动物们住的很分散,有时候去探望朋友走好远才能见到,传达消息

普贤王如来和普贤菩萨有何不同?

第三实幼小班组三叶草节系列活动之一"爱心午餐"

自我革命 试驾宝骏530 1.5t dct

教师招聘面试技巧:《爱莲说》优秀教学设计展示