育儿说疱疹性咽峡炎进入高发期今天咱就科普科普

高清图片下载 免费 安全无风险
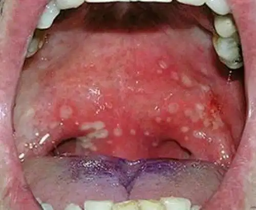
育儿说疱疹性咽峡炎进入高发期今天咱就科普科普

育儿说疱疹性咽峡炎进入高发期今天咱就科普科普

点击图片查看原图

图片信息

  • 格式: JPG
  • 尺寸: 544x514
  • 大小: 约1.2MB

版权声明

相关标签

自然风光 高清壁纸 4K画质

分享图片

相关推荐

基于当前图片的相似推荐

疱疹性咽峡炎是由肠道病毒感染引起的儿童急性上呼吸道感染性疾病

这疱疹性咽峡炎太毒了,周一上了一天幼儿园回来晚上开始发烧,一 - 抖

小儿疱疹性咽峡炎的症状有哪些 孩子得了疱疹性咽峡炎怎么办

宝宝的喉咙经常这样起泡化浓这是怎么回事

父母必知疱疹性咽峡炎是怎么一回事

幼儿园疱疹性咽峡炎大爆发!终于找到办法控制啦!

小孩疱疹性咽峡炎几天能退烧

何预防疱疹性咽峡炎(手足口病的同胞兄弟)

疱疹性咽喉炎的症状与鉴别

小孩疱疹性咽峡炎图片

先看下面这张图片:一名患有严重喉咙痛的青少年软腭上的疱疹性咽峡炎.

随机推荐

发现更多精彩图片

大势女团橘子焦糖 林珍娜 nana 性感热舞饭拍

忆童年.80后这代人啊!有太多无奈,小时候做的最傻的事就是盼 - 抖音

独坐在窗前感受一个人的孤单

加拿大多伦多猛龙, nba总冠军-金吉列留学官网

凤阳花鼓_歌谱简谱_哆来咪123曲谱网

广珠西线高速公路词条图册_百度百科

明嘉靖 青花花卉瓜棱提梁壶

住户反映商洛万事达楼顶噪音扰民 装三层玻璃仍有噪音