甚至还有凹陷?_双眼皮手术 - 好大夫在线

高清图片下载 免费 安全无风险
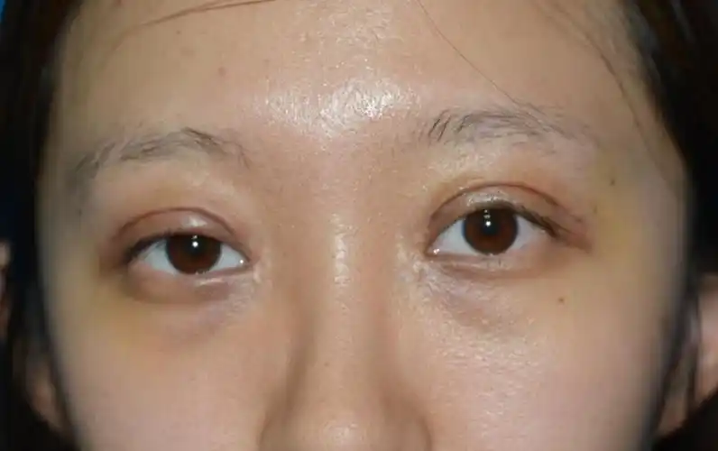
甚至还有凹陷?_双眼皮手术 - 好大夫在线

甚至还有凹陷?_双眼皮手术 - 好大夫在线

点击图片查看原图

图片信息

  • 格式: JPG
  • 尺寸: 575x301
  • 大小: 约1.2MB

版权声明

相关标签

自然风光 高清壁纸 4K画质

分享图片

相关推荐

基于当前图片的相似推荐

天生眼窝凹陷,做了全切双眼皮.术后六个月出现三眼皮.

南华博士双眼皮太深切口凹陷明显如何修复

切开重睑,内外眶脂释放上睑凹陷矫正,外眦开大,自体脂肪胶填充 - 抖音

多层褶可以做双眼皮吗 北京西美整形医院刘野院长告诉您

双眼皮凹陷疤痕修复以及双眼皮修复

一月份割的双眼皮左眼严重凹陷出现三眼皮症状眼角疤至今未好请问疤能

双眼皮但是眼窝凹陷,看起来就像单眼皮,特别显老.

活动作品眼部组织缺失导致双眼皮凹陷

全切双眼皮术后变成凹陷三眼皮是不是失败了

双眼皮避雷贴双眼皮失败的4个表现原因避坑注意事项

开双眼皮一个月,眼睛比较凹!现在睁眼上面一层褶子 特别奇怪

双眼皮凹陷性瘢痕是咋回事?

随机推荐

发现更多精彩图片

汉隶之美:《曹全碑》高清(可当字帖)

一组可爱的超萌q版清朝宫廷人物简笔画图片素材

香蕉的神奇魅力,你真的不懂:每天吃2根香蕉,30天后人体出现惊人变化!

伪连载光卡的品克缤饲养记

85街坊征收失败成为上海虹口区之殇:7成居民希望外迁却终成空

alexmercer的亮眼表现_18-06-13_18-52-44

旧漫头像音乐少年-ai绘画.分享一下你最近最喜欢的一首歌#旧 - 抖音

约168万元铃木正式发布250cc小跑车极客飒250