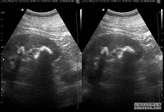
怀疑肾积水,找到结石就结束了吗?_肾盂

高清图片下载 免费 安全无风险
怀疑肾积水,找到结石就结束了吗?_肾盂

怀疑肾积水,找到结石就结束了吗?_肾盂

点击图片查看原图

图片信息

  • 格式: JPG
  • 尺寸: 710x532
  • 大小: 约1.2MB

版权声明

相关标签

自然风光 高清壁纸 4K画质

分享图片

相关推荐

基于当前图片的相似推荐

肾脏惊现"小脚板" 10年结石变造型

夜宵呷龙虾加啤酒长沙女子肾结石致肾脏积脓

惊呆!宁波一名18个月大男婴肾脏,输尿管,膀胱长结石

肾里长"巨石" 块头超鹅蛋|结石|肾结石|鹅蛋_新浪新闻

体外碎石放大招了让结石不再疯狂

30厘米"石化"导管留20年 仁济专家成功取石保肾|膀胱结石|夏磊|结石

杨佩医师治泌尿系结石一例

体外碎石放大招了让结石不再疯狂

男子开车途中突发腰痛险酿大祸,就医确诊输尿管结石

没开刀,没"打洞",巨大肾结石还可以这样搞定_范军铭

随机推荐

发现更多精彩图片

减龄发型2021最火短发直发-天晟网

闺蜜三人出游 拍照姿势大全_拍照_出游_青岛涵碧楼酒店自由行热门攻略

嗷嗷嗷可可爱爱的一组萌物简笔画手把手教你

川/ 不好意思,天生傲骨,不懂服输 _微信头像_我要个性网

著名演员苏丽:长得漂亮戏也好,为人低调不张扬,追求真实生活_腾讯新闻

示意图医学宣传挂图人体器官心脏人体内脏解剖系统示意图医学宣传挂图

德力西电动喷花授粉器家用打药消毒喷雾器背负式点花神器大棚 无限

在广州我们经常可以见到砼威混凝土围挡基座,水泥墩,上面的广告

p data-id="gnwj9ge2wa">石匣镇遗址 位于密云县东北部的潮河之畔.