蓝天白云唯美风光图片桌面壁纸高清大图预览1920x1200_风景壁纸下载

高清图片下载 免费 安全无风险
蓝天白云唯美风光图片桌面壁纸高清大图预览1920x1200_风景壁纸下载

蓝天白云唯美风光图片桌面壁纸高清大图预览1920x1200_风景壁纸下载

点击图片查看原图

图片信息

  • 格式: JPG
  • 尺寸: 1920x1200
  • 大小: 约1.2MB

版权声明

相关标签

自然风光 高清壁纸 4K画质

分享图片

相关推荐

基于当前图片的相似推荐

蓝天白云唯美风光图片高清壁纸-风景壁纸-手机壁纸下载-美桌网

今天的天空特别美 #治愈系风景 #手机摄影 蓝天白云,还 - 抖音

风景,蓝天白云,风景,天空,电脑壁纸,壁纸蓝天白云

蓝天白云风景高清电脑桌面壁纸图片

蓝天白云唯美风景图片电脑壁纸

公路上的蓝天白云风景

蓝天白云下的大海自然风景桌面壁纸图片

唯美蓝天白云摄影高清桌面壁纸_风景壁纸_壁纸下载_美桌网

蓝天白云风景高清桌面壁纸

大自然的蓝天白云,风景-回车桌面

随机推荐

发现更多精彩图片

李_李字怎么写好看_李的写法_书法字典_大圈网

组图:金晨李易峰深夜酒吧聚会玩嗨 凌晨4点才不舍散场

正宗小叶紫檀树图片,正宗小叶紫檀树苗图片-图片大观-奇异网

【品牌授权】美国疤克疤痕膏 疤克巴克祛疤膏痕 剖腹产双眼皮疤痕凝胶

盘点十二位男明星的星座易烊千玺是射手座快来看看和你的一样

黑鱼(乌鳢) 水葫芦(凤眼莲) 水葫芦对其生活的水面采取了野蛮的封锁

可爱的小女孩在打鼓

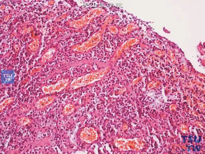
尿道肉阜,肉芽组织型,被覆上皮较薄或脱落,间质可见大量炎性肉芽组织