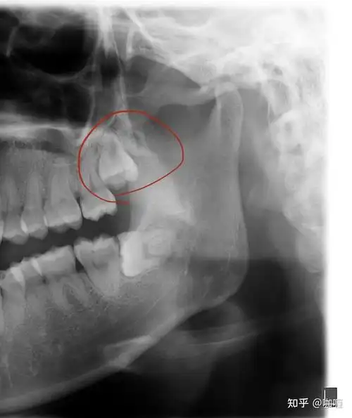
医生一定要让拔智齿的真相是什么?_手机搜狐网

高清图片下载 免费 安全无风险
医生一定要让拔智齿的真相是什么?_手机搜狐网

医生一定要让拔智齿的真相是什么?_手机搜狐网

点击图片查看原图

图片信息

  • 格式: JPG
  • 尺寸: 416x718
  • 大小: 约1.2MB

版权声明

相关标签

自然风光 高清壁纸 4K画质

分享图片

相关推荐

基于当前图片的相似推荐

脸肿是怎么回事 脸肿了一般几天消肿-起航号

智齿是由于人类颌骨缺乏足够的空间来容纳所有的牙齿,导致最后萌出的

原来拔智齿也有最佳年龄?医生提醒:这5类人谨慎拔智齿

战胜恐惧最好的办法,就是面对恐惧,拔了智齿__财经头条

智齿变废为宝.上半口的照片,我就不放了下半口:已经整齐的下 - 抖音

拔4颗智齿_口腔健康_什么值得买

【图】超声骨刀在智齿拔除中的应用 -口腔科-医学名词-39疾病百科

原来"拔智齿"也是有最佳年龄的?医生提醒:这6类人谨慎拔智齿_患者_进

#想象中和实际中的智齿##春日cityhappy计划#

人为何会长智齿 人为什么会会长智齿-琢舟百科

在杭口拔一颗普通智齿 - 知乎

立事牙多少钱一颗,拔个智齿需要多少钱 - 冷求网

随机推荐

发现更多精彩图片

野外情侣亲亲素材一生与你相伴到老

【校园风景线】瞧,我的全家福!(一)_年级

宋轶盛典活动领奖 荣获"年度风尚艺人"

h3c交换机路由器图标大全素材

网络安全大赛插画_网络安全大赛卡通_网络安全大赛插图_手绘_板绘_摄

传承红色经典——洇溜镇敦庄子中心小学开展主题手抄报活动

300大作战10月28直播回放

九零后马泽涵现身时装周,现身机场频摆造型,颜值出众惹人爱