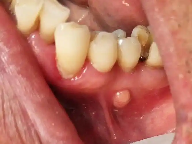
前牙外伤致根尖囊肿.总以为"牙齿"还年轻,却忽略了"囊肿"的 - 抖音

高清图片下载 免费 安全无风险
前牙外伤致根尖囊肿.总以为"牙齿"还年轻,却忽略了"囊肿"的 - 抖音

前牙外伤致根尖囊肿.总以为"牙齿"还年轻,却忽略了"囊肿"的 - 抖音

点击图片查看原图

图片信息

  • 格式: JPG
  • 尺寸: 1169x1080
  • 大小: 约1.2MB

版权声明

相关标签

自然风光 高清壁纸 4K画质

分享图片

相关推荐

基于当前图片的相似推荐

牙龈脓包别轻视,这是根尖脓肿/囊肿的一种症状,大部分的根尖囊 - 抖音

科普丨牙龈"长包"要重视,小心是根尖囊肿!

原本去拍ct拔智齿的,结果发现两个根尖囊肿,好像要手术,牙齿 - 抖音

门牙根尖囊肿01要根管治疗好多次瑟瑟发抖.

回顾根尖囊肿治疗历程

牙疼,牙龈长脓包,警惕慢性根尖牙周炎

6岁女童补牙后根尖周脓肿,根管治疗后好转

根尖囊肿需要做根管治疗

牙齿根尖囊肿应该引起注意

随机推荐

发现更多精彩图片

王晖词条图册_百度百科

p data-id="gnsqdp7nhb">《温州一家人》由浙江广播电视集团,北京歌

做一个心中有爱;的阳光女人.

超火"ins风"情侣头像:爱别人的同时,要学会爱自己

女人手佃户租种的土地她自己的事物肚子肥的和脂肪团向白色的背照片

阿玛尼emporioarmani手表男礼物全自动镂空明星同款时尚机械男士腕表

集装箱锁具 货柜镀锌门锁 车厢门杆厢式货车锁 集装箱品质配件

大神p图惨不忍睹第91期

狐妖小红娘王权富贵清瞳cut(王权篇名场面)

我们女性的胸型 有好多好多好多种 我们常穿的聚拢内衣 也大多是这个

百万现金,成捆大钞堆积如山.