一看就会的8种咖啡烘焙度(附67scaa烘焙色卡)_roas_agtron_程度

高清图片下载 免费 安全无风险
一看就会的8种咖啡烘焙度(附67scaa烘焙色卡)_roas_agtron_程度

一看就会的8种咖啡烘焙度(附67scaa烘焙色卡)_roas_agtron_程度

点击图片查看原图

图片信息

  • 格式: JPG
  • 尺寸: 700x715
  • 大小: 约1.2MB

版权声明

相关标签

自然风光 高清壁纸 4K画质

分享图片

相关推荐

基于当前图片的相似推荐

一看就会的8种咖啡烘焙度(附67scaa烘焙色卡)

咖啡知识大全 【 杯测概论 · 为咖啡评分】

75一篇帮你搞定咖啡豆的浅中深烘焙特点75

怎么样才能萃取出一杯手冲风味宜人的咖啡呢?

咖啡烘焙技巧大全咖啡烘焙的目的与咖啡豆的特性

咖啡豆烘焙对照卡咖啡装饰品卡片 scaa烘焙师专用比色卡 咖啡器具

如何判断咖啡豆的烘焙程度?

一看就会的8种咖啡烘焙度(附67scaa烘焙色卡)_roas_agtron_程度

把秋冬做成可口的样子08

看文献,喝咖啡,也能发论文?

咖啡烘焙度分辨图表

随机推荐

发现更多精彩图片

陈好产后复出河南捞金人气不减 体态臃肿成"万人肥"

隐秘而伟大李玹雨写真青涩炫酷展双重魅力

来换换你的微信头像啊,42张大气商务简约签名头像,请查收带走

中国腿最长的女明星前十名(15位拥有纤细美腿的女明星)(139)

tvb配角何绮云恋爱28年不想结婚,入行多年因不懂交际做配角

10号球服美女手捧篮球高清桌面壁纸

拉莫斯离皇马因为想要皮克年薪

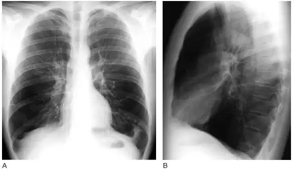
34 岁男性,继发于α1- 抗 胰蛋白酶缺乏症的全小叶型肺气肿患者

交通事故协议书怎么写 交通事故协议书1,事故经过:___年_月_日,发生了

女人额头有龙骨面相 额头有两个凸起龙角-卜安居

鸣钟击磬的拼音怎么拼写