车棚停车棚家用汽车遮阳棚移动车库防雨棚户外防晒简易帐篷

高清图片下载 免费 安全无风险
车棚停车棚家用汽车遮阳棚移动车库防雨棚户外防晒简易帐篷

车棚停车棚家用汽车遮阳棚移动车库防雨棚户外防晒简易帐篷

点击图片查看原图

图片信息

  • 格式: JPG
  • 尺寸: 300x300
  • 大小: 约1.2MB

版权声明

相关标签

自然风光 高清壁纸 4K画质

分享图片

相关推荐

基于当前图片的相似推荐

铝合金雨棚#遮阳棚 车棚#遮阳防晒 #停车棚 ,厂家直销,咨 - 抖音

新品米白色停车棚车棚家用遮阳棚防雨棚汽车帐篷户外可拆卸婚庆活

鸿韵定制h089铝合金车棚遮阳棚防雨棚充电桩防晒棚可定制

惑说车棚家用移动车库户外汽车遮阳棚防晒雨棚加厚庭院大帐篷伞米白色

供应膜结构车棚 停车棚 遮阳棚 雨棚 款式多

铝合金雨棚车棚遮阳棚别墅雨棚13366335576

sibada车棚停车棚家用汽车遮阳棚移动车库防雨棚户外防晒简易帐篷

铝合金车棚停车棚家用 汽车遮阳棚 户外通道别墅停车位轿车车库雨棚

碧江-景观膜结构-七字形车棚-小区遮阳棚-st05#膜结构 #遮阳棚 #雨棚

定制户外膜结构汽车车棚遮阳棚小区自行车雨棚钢结构电动车停车棚

淄博市膜结构车棚停车棚遮阳棚膜结构停车棚雨棚

户外车棚停车棚家用汽车遮阳棚折叠移动防晒雨棚室外防雨大伞车篷

随机推荐

发现更多精彩图片

卡通手绘卡通皮卡车漫画

tnt时代少年团 动漫头像 好看! - 抖音

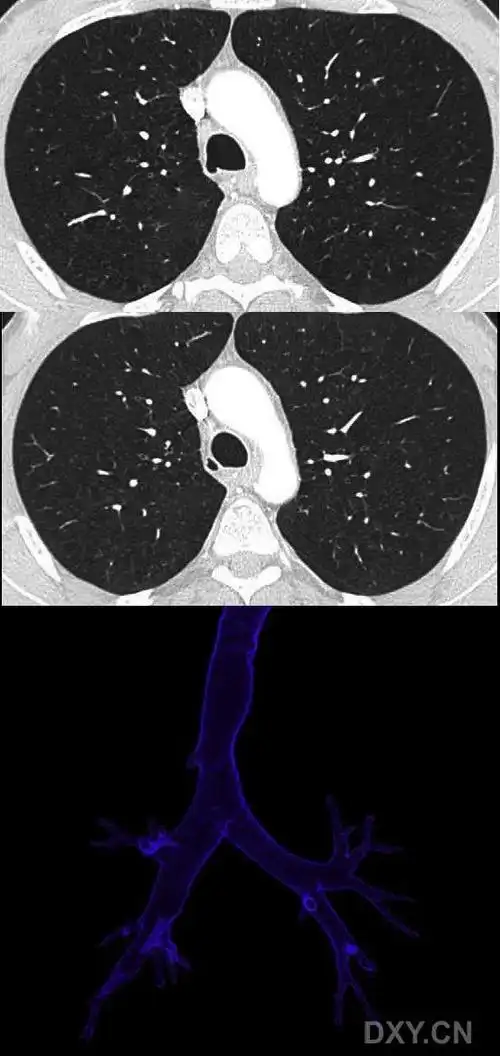
【影像读片】气管憩室ct三维重建 [病例帖]

庄达菲滤镜头像(自截自调),拿图看专辑简介.

夜晚,月亮和树木倒映在特拉西梅诺湖面上

日本战国士兵背上的【旗帜】有啥用?

迪丽热巴的泳装,比晚礼服还保守

玉兰油(olay)olay玉兰油多效修护防晒霜50g 防晒spf15 补水保湿隔离

单管枪,22管,用于射击或狩猎的设备.

漂亮的后背壁纸(好看的背面壁纸)