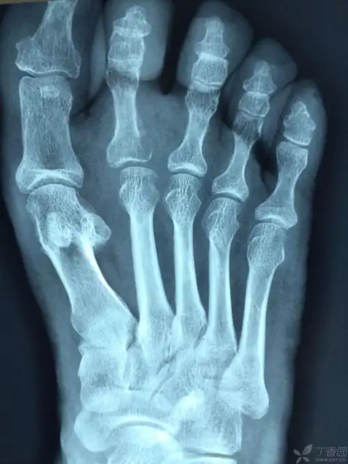
交通事故左足拇指近节趾骨骨折能凭上伤残吗?

高清图片下载 免费 安全无风险
交通事故左足拇指近节趾骨骨折能凭上伤残吗?

交通事故左足拇指近节趾骨骨折能凭上伤残吗?

点击图片查看原图

图片信息

  • 格式: JPG
  • 尺寸: 960x448
  • 大小: 约1.2MB

版权声明

相关标签

自然风光 高清壁纸 4K画质

分享图片

相关推荐

基于当前图片的相似推荐

苗大姐今年50岁,是一名左足第一趾骨近节骨折的患者.

左足第四趾近节趾骨头骨折,长时间依然没有完全复位,该如何治疗,恢复

拇趾近节趾骨粉碎骨折固定方式

关于跖骨痛的常见问答

解剖歌诀(二)骨与骨连结

右足第二近节趾骨骨质破坏

我们比欧美人少两块骨头,是因为我们进化更充分吗?_趾骨

交通事故左足拇指近节趾骨骨折能凭上伤残吗?

近节趾骨proximalphalanx6.中节趾骨middlephalanx7.

随机推荐

发现更多精彩图片

"神仙姐姐"刘亦菲的侧颜绝了!网友纷纷留言真美

70后80后的农村娃看过来,你的童年记忆里有没有这些场景?

q版的可爱小舞呀79^▽^79 小舞姐的新图(超话江河湖海接龙)

点字行书怎么写 苏轼

安徽省阜阳市太和县光明路靠近晶宫大酒店

快科技--科技改变未来

上校鸡块冷冻黑胡椒鸡块半成品黑椒鸡柳小吃家庭装2斤

绿色树林风景图片桌面壁纸

奥迪,2018 a5 s5,蓝色,汽车,照片

原创此皇帝对大臣们小心翼翼放权讨好难道准备怂出一片天

上山虎国画画虎名家上山虎国画

2020年打麻将违法吗打麻将多少钱以上违法