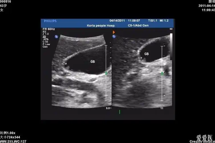
立竿见影精准排雷高危老年胆囊炎患者救治介入超声解难题

高清图片下载 免费 安全无风险
立竿见影精准排雷高危老年胆囊炎患者救治介入超声解难题

立竿见影精准排雷高危老年胆囊炎患者救治介入超声解难题

点击图片查看原图

图片信息

  • 格式: JPG
  • 尺寸: 614x460
  • 大小: 约1.2MB

版权声明

相关标签

自然风光 高清壁纸 4K画质

分享图片

相关推荐

基于当前图片的相似推荐

每日技能影像学超声之胆囊结石

立竿见影精准排雷高危老年胆囊炎患者救治介入超声解难题

得了胆囊息肉怎么办湘潭县人民医院为您支招

b超"回声"大揭秘:胆结石是怎么被发现的?_超声_图像_反射

女子10年来天天不吃早餐 结果胆囊竟长出一枚"土鸡蛋"

患者胆囊被切除查出胆结石 医院4天2个结果(图)

16人就有1个胆囊息肉,啥样的会癌变?

"胆囊息肉体检一项接着一项进行,到胆囊b超检查这一项出现问题了.

女子常年不吃早餐患上胆囊结石医生提醒这个生活习惯得改

不吃早饭易患胆囊癌为什么转载

随机推荐

发现更多精彩图片

保护环境,从我做起! - 美篇

简单三步教你制作专业的鱼骨图!_问题_分析_工具

玛雅遗址-风景桌面壁纸

朴实的厦门大学研究生宿舍

爆款来袭中考班服设计图案初中班服图片大全

你好呀gif打招呼gif动漫gif

儿童扎发鱼尾辫发型不会编发没关系,可以用多条发圈扎出鱼尾辫的效果.

摩登时尚秋冬装图片

中国核电站分布图(图源:国家测绘地理信息局)