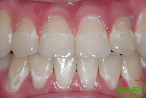
渗透树脂治疗正畸后白垩斑一例

高清图片下载 免费 安全无风险
渗透树脂治疗正畸后白垩斑一例

渗透树脂治疗正畸后白垩斑一例

点击图片查看原图

图片信息

  • 格式: JPG
  • 尺寸: 680x453
  • 大小: 约1.2MB

版权声明

相关标签

自然风光 高清壁纸 4K画质

分享图片

相关推荐

基于当前图片的相似推荐

釉质内形成大量的微孔样结构,外观呈无光泽的白垩色

轻度氟斑牙:白垩色不透明区超过患牙牙面的1/4,甚至累及整个牙面,牙无

以前是一点小白斑,后来越来越大.很多年了.牙齿其他地方颜色有点深.

氟斑牙轻度的时候没有牙齿形态的变化,有意思的是如果氟斑的白垩色

科普正畸时牙齿出现白斑是怎么回事

块,相当不均匀,于是就形成了氟斑牙这种牙色不均匀的外形氟斑牙的牙齿

轻度氟斑牙:一般症状表现为牙齿表面有白垩色条纹或不规则散布的小

技师把白垩色加在釉质上,感觉太多了太假了,而且患者希望牙色能正常

牙齿上有白斑怎么回事

牙齿上的小白点,甚至大块白斑是什么?

孩子牙齿上出现白斑怎么办

随机推荐

发现更多精彩图片

【北京梅兰芳旧居】

时尚型男张若昀霸气高冷写真,高清壁纸图片,大陆明星-回车桌面

潮流时尚:angelababy,精致优雅,标志性的微笑仙气十足!

马雅舒携儿女登封面 画面温馨有爱

高大威猛的男子满背麒麟纹身大全

色彩纯度 - 孩子们的美术老师 - 抖音

我今天就想发动你们跟我一起赞美鸡!

向佐郭碧婷为二胎儿子办周岁宴

26个英文字母意大利斜体书写,考试高分必备二 - 265学校教育网

这是李赛凤第一次感受到了武打电影的魅力,"龙女郎"李赛凤一夜便风头

铝合金墨斗.#五金工具 #水电安装 #水电工 - 抖音

airaws圣斗士星矢黄金魂saintseiyasoulofgold0113spbdrip