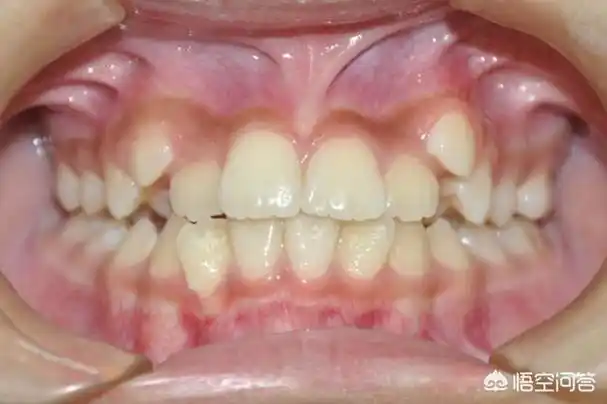
求鉴定是不是真虎牙啊 谢谢!

高清图片下载 免费 安全无风险
求鉴定是不是真虎牙啊 谢谢!

求鉴定是不是真虎牙啊 谢谢!

点击图片查看原图

图片信息

  • 格式: JPG
  • 尺寸: 375x500
  • 大小: 约1.2MB

版权声明

相关标签

自然风光 高清壁纸 4K画质

分享图片

相关推荐

基于当前图片的相似推荐

一泰国朋友的虎牙请鉴定

小时候虎牙萌,长大后它却害你越来越

虎牙矫正的最好方法虎牙怎么矫正

看起来可爱的虎牙,隐藏着你不知道的坏处!

一一好心人帮我鉴定哈是不是真虎牙?

抚平尖尖小虎牙喜提73嘴角甜美小括号

帮鉴定下,这是不是虎牙?

求鉴定是不是真虎牙啊 谢谢!

是树脂的很好鉴定,你可以拿刀片轻刮虎牙出来粉末后用打火机烧一下

怎么区分狮子牙和虎牙

随机推荐

发现更多精彩图片

长在草丛中的茅尖儿

宠物界的各种惊讶|宠物界|搞笑|可爱_新浪新闻

熬夜加班喉咙痛用金笛味道甜甜的

93熊出没 | 超萌动画涂色素材120张97 82家里宝宝到了绘画启蒙

少见的彩铅建筑手绘值得收藏

的国漫猫粉路过会长羽毛的念珠 :科普一下:京剧猫的粉丝叫猫民楚瑶 璇

楼顶菜园 #露天阳台花园打造 楼顶鱼池完工期待效果

一组可爱小动物卡通手机壁纸