春夏帽子百搭潮牌鸭舌帽棒球帽

高清图片下载 免费 安全无风险
春夏帽子百搭潮牌鸭舌帽棒球帽

春夏帽子百搭潮牌鸭舌帽棒球帽

点击图片查看原图

图片信息

  • 格式: JPG
  • 尺寸: 1500x2322
  • 大小: 约1.2MB

版权声明

相关标签

自然风光 高清壁纸 4K画质

分享图片

相关推荐

基于当前图片的相似推荐

帽子男秋冬韩版潮时尚冬天保暖加绒男士新款冬季男款针织毛线冬帽

男士帽子春夏简约棒球帽时尚休闲鸭舌帽户外布标徽章帽子

帽子男士夏季黑色潮流棒球帽时尚青年鸭舌帽户外帽子

男士秋冬帽子推荐平价套头帽贝雷帽

热销男士帽子秋季时尚潮韩个性男

帽子男士时尚户外秋冬季韩版潮百搭褶皱保暖休闲时装平顶帽鸭舌帽

帽子男潮韩版ins网红遮阳鸭舌帽潮流男士春秋棒球帽男生夏季潮牌

男士帽子潮流韩版帅气短帽檐高端青年帽子男潮新款青少年鸭舌帽子

新款时尚平顶帽春夏季遮阳太阳帽送父亲鸭舌帽速干休闲帽子男防晒

帽子男士潮韩版百搭条纹前进帽男春夏季短檐鸭舌帽男休闲贝雷帽男

鸭舌帽男士潮流格子春秋新款休闲文艺日系前进帽子

真皮帽子男士绵羊羊皮帽牛仔帽礼帽韩版潮户外休闲帽子

随机推荐

发现更多精彩图片

分享恐怖霸气头像了00

《苏茉儿传奇》开播预告

安在旭 星梦奇缘 cut14(1)

可爱小简笔画~[可爱] ins:illustratorkamo (转)via @ins插画

热烈庆祝深圳经济特区建立40周年

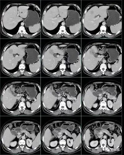
黄色肉芽肿性胆囊炎影像1例

喜欢拉珠卷帘窗帘全遮光的还喜欢

适用小米18w红米充电器qc30快充头安卓6x手机8se充电插头充电头ty主要

北京近日也现"吃人电梯"为何电梯事故频繁出现?

全职法师:莫凡消失后回归,打情敌,救玄蛇,称霸火系院