美胸妹子是谁?午间海量精选电影动态图欣赏

高清图片下载 免费 安全无风险
美胸妹子是谁?午间海量精选电影动态图欣赏

美胸妹子是谁?午间海量精选电影动态图欣赏

点击图片查看原图

图片信息

  • 格式: JPG
  • 尺寸: 320x172
  • 大小: 约1.2MB

版权声明

相关标签

自然风光 高清壁纸 4K画质

分享图片

相关推荐

基于当前图片的相似推荐

妹子都被你吓坏了!波涛汹涌的动态图

据说妹子都是这样吃香蕉的周六海量搞笑福利动态图赏

妹子你深深的伤害了我 周一提神内涵囧图大赏__囧图,动态图:: 游民

妹子以奶喂蛇勇气可嘉周六海量福利动态图赏

妹子任性也犯中二病午间搞笑动态图送到

353_199gif 动态图 动图

搞笑动态图:不是每个妹子都懂浪漫

可爱的妹子就想一口吃掉那点小邪恶的动态图

拯救跳楼妹子的好方法 完全不正经的午间动态图

卡通妹子潇洒的穿衣服搞笑gif动图_动态图_表情包下载_soogif

妹子这是要开大了本日分外艰辛的动态图

随机推荐

发现更多精彩图片

吴亦凡的身高卖相绝对秒杀刘德华和郭富城!

自己生日快乐祝福语

qq头像男生动漫高清帅气

tlp反光车贴 卧倒躺下休息放平卡通可爱摩托车机车电动车防水贴纸

cn209769691u_一种新型躺椅有效

新交哒好盆友尊贵的智噶仁波切

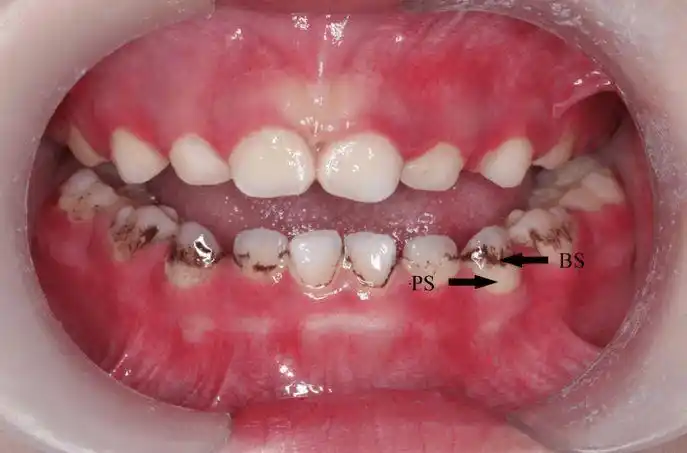
宝宝牙齿黑了,怎么办?_儿童牙病_儿童牙病相关疾病 - 好大夫在线

浙江杭州:外国友人中秋佳节体验中医文化

肉鼻头变美思路手把手教你如何有效修容60

青海,茶卡盐湖的星空

为大家带来一组王者荣耀好看的专属头像!